JavaScript is disabled in your browser. Please enable JavaScript to view this website.

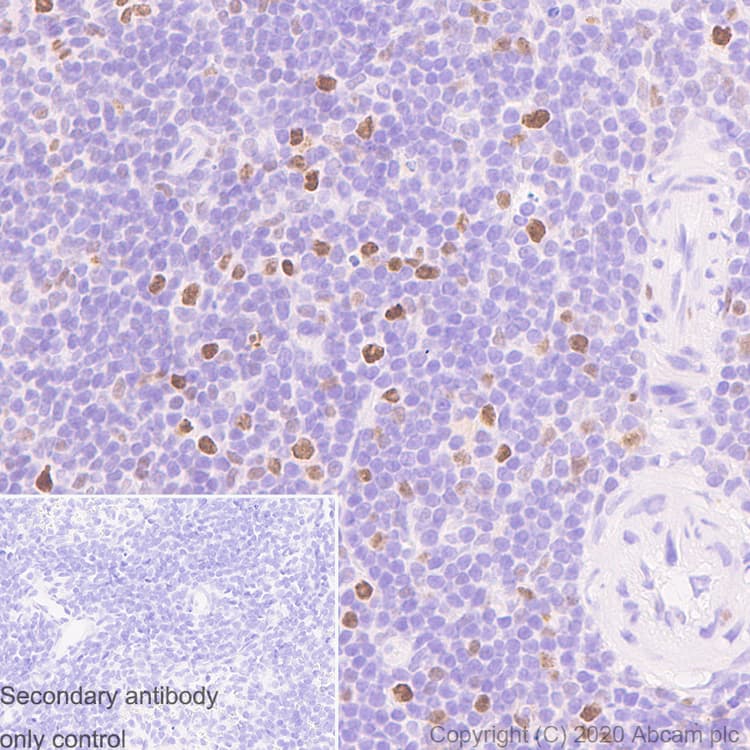
Anti-PCNA antibody [24/PCNA](ab280088)

$undefined

Anti-PCNA antibody [24/PCNA](ab280088)

Anti-PCNA antibody [24/PCNA](ab280088)

Anti-PCNA antibody [24/PCNA](ab280088)

Anti-PCNA antibody [24/PCNA](ab280088)

Anti-PCNA antibody [24/PCNA](ab280088)

Anti-PCNA antibody [24/PCNA](ab280088)

Anti-PCNA antibody [24/PCNA](ab280088)

Anti-PCNA antibody [24/PCNA](ab280088)

Anti-PCNA antibody [24/PCNA](ab280088)

Mouse Recombinant Monoclonal PCNA antibody. Suitable for ICC/IF, WB, IHC-P and reacts with Rat, Human, Mouse samples. Cited in 4 publications.
Specifications
Shipped At Conditions Blue Ice
Appropriate Long term Storage Conditions Store at -20°C.
Clonality Monoclonal
Applications ICC/IF, IHC-P, WB
Species Reactivity Human, Mouse, Rat
Isotype IgG1