JavaScript is disabled in your browser. Please enable JavaScript to view this website.

Anti-NeuN antibody [EPR12763] - Rat IgG2a (Chimeric)(AB279297)

$undefined

Anti-NeuN antibody [EPR12763] - Rat IgG2a (Chimeric)(AB279297)

Anti-NeuN antibody [EPR12763] - Rat IgG2a (Chimeric)(AB279297)

Anti-NeuN antibody [EPR12763] - Rat IgG2a (Chimeric)(AB279297)

Anti-NeuN antibody [EPR12763] - Rat IgG2a (Chimeric)(AB279297)

Anti-NeuN antibody [EPR12763] - Rat IgG2a (Chimeric)(AB279297)

Anti-NeuN antibody [EPR12763] - Rat IgG2a (Chimeric)(AB279297)

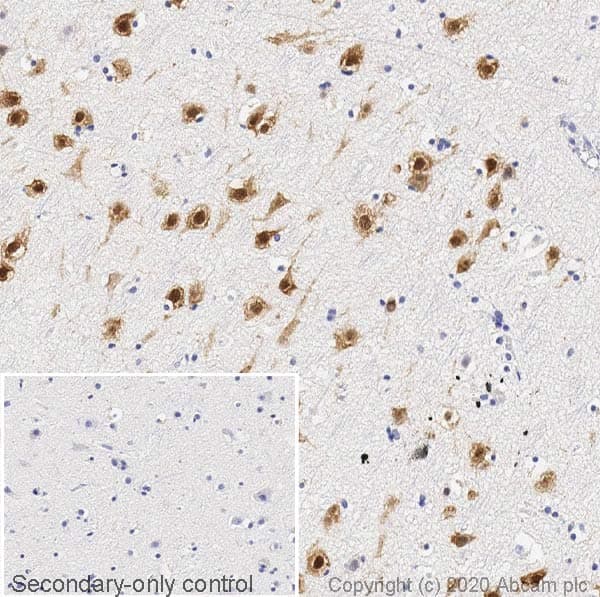
Rat Monoclonal NeuN antibody. Suitable for IHC-P, ICC/IF, WB, Flow Cyt (Intra) and reacts with Human, Mouse, Rat samples. Cited in 3 publications.
Specifications
Shipped At Conditions Blue Ice
Appropriate Long term Storage Conditions Store at -20°C.
Clonality Monoclonal
Applications Flow Cyt (Intra), ICC/IF, IHC-P, WB
Species Reactivity Human, Mouse, Rat
Isotype IgG2a