JavaScript is disabled in your browser. Please enable JavaScript to view this website.

Anti-Kisspeptin antibody [EPR23770-189] - BSA and Azide free(AB275883)

$undefined

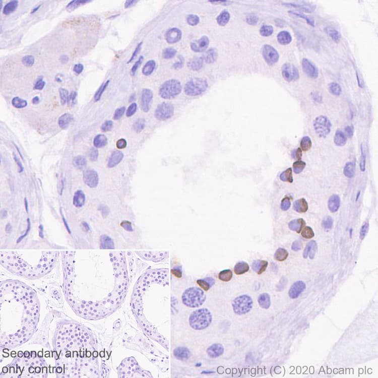
Kisspeptin Antibody Epr23770 189 Bsa And Azide Free Ab275883  Immunohistochemistry Formalin Pfa Fixed Paraffin Embedded Sections Img124134

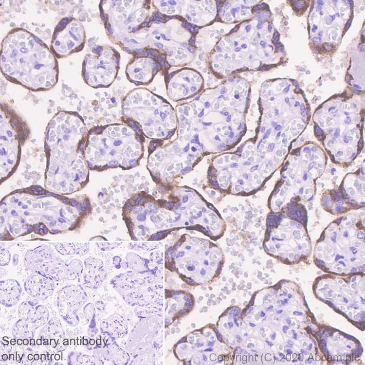
Kisspeptin Antibody Epr23770 189 Bsa And Azide Free Ab275883  Immunohistochemistry Formalin Pfa Fixed Paraffin Embedded Sections Img72108

Kisspeptin Antibody Epr23770 189 Bsa And Azide Free Ab275883  Immunoprecipitation Img185254

Kisspeptin Antibody Epr23770 189 Bsa And Azide Free Ab275883  Western Blot Img170351

Rabbit Recombinant Monoclonal Kisspeptin antibody. Carrier free. Suitable for IP, WB, IHC-P and reacts with Human samples.
Specifications
Shipped At Conditions Blue Ice
Appropriate Long term Storage Conditions Store at +4°C.
Clonality Monoclonal
Applications Human, Mouse, Rat
Species Reactivity Flow Cyt, ICC/IF, IHC-P, IP, WB
Isotype IgG
Conjugation -
CAS Number -