JavaScript is disabled in your browser. Please enable JavaScript to view this website.

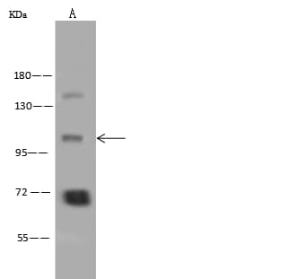
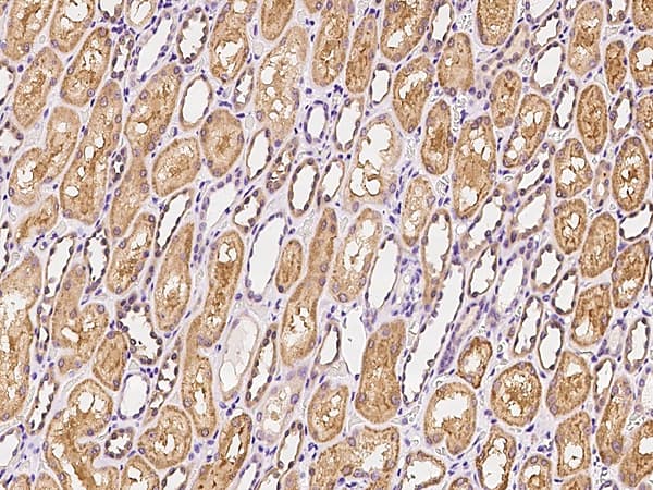
Anti-ATP12A antibody(ab275647)

$undefined

Anti-ATP12A antibody(ab275647)

Anti-ATP12A antibody(ab275647)

Rabbit Polyclonal ATP12A antibody. Suitable for WB, IHC-P and reacts with Human samples. Immunogen corresponding to Synthetic Peptide within Human Potassium-transporting ATPase alpha chain 2.
Specifications
Shipped At Conditions Blue Ice
Appropriate Long term Storage Conditions Store at -20°C.
Clonality Polyclonal
Applications IHC-P, WB
Species Reactivity Human
Isotype IgG