JavaScript is disabled in your browser. Please enable JavaScript to view this website.

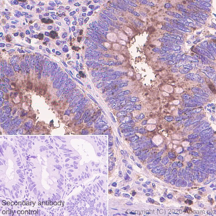
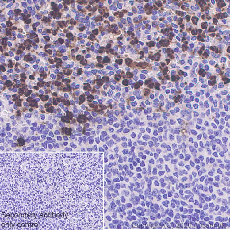
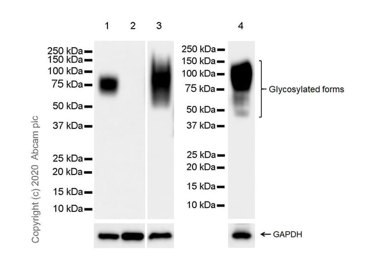
Anti-CEACAM6 antibody [EPR23956-80](AB275022)

$undefined

Anti-CEACAM6 antibody [EPR23956-80](AB275022)

Anti-CEACAM6 antibody [EPR23956-80](AB275022)

Anti-CEACAM6 antibody [EPR23956-80](AB275022)

Anti-CEACAM6 antibody [EPR23956-80](AB275022)

Anti-CEACAM6 antibody [EPR23956-80](AB275022)

Anti-CEACAM6 antibody [EPR23956-80](AB275022)

Anti-CEACAM6 antibody [EPR23956-80](AB275022)

Anti-CEACAM6 antibody [EPR23956-80](AB275022)

Anti-CEACAM6 antibody [EPR23956-80](AB275022)

Rabbit Recombinant Monoclonal CEAM6 antibody. Suitable for ICC/IF, IP, Flow Cyt, WB, IHC-P and reacts with Human samples. Cited in 1 publication.
Specifications
Shipped At Conditions Blue Ice
Appropriate Long term Storage Conditions Store at -20°C.
Clonality Monoclonal
Applications Flow Cyt, ICC/IF, IHC-P, IP, WB
Species Reactivity Human, Mouse, Rat
Isotype IgG