JavaScript is disabled in your browser. Please enable JavaScript to view this website.

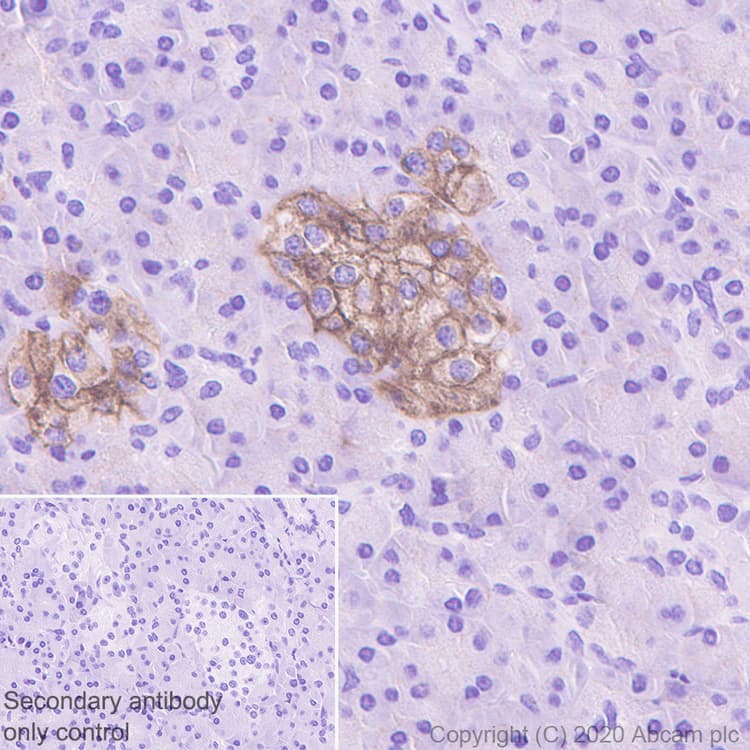
Anti-GLP-1R antibody [EPR23507-57] - BSA and Azide free(AB274381)

$undefined

Anti-GLP-1R antibody [EPR23507-57] - BSA and Azide free(AB274381)

Anti-GLP-1R antibody [EPR23507-57] - BSA and Azide free(AB274381)

Rabbit Recombinant Monoclonal GLP-1R antibody. Carrier free. Suitable for IHC-P and reacts with Human samples.
Specifications
Shipped At Conditions Blue Ice
Appropriate Long term Storage Conditions Store at +4°C.
Clonality Monoclonal
Applications Human, Mouse, Rat
Species Reactivity IHC-P, IP, WB
Isotype IgG
Conjugation -
CAS Number -