JavaScript is disabled in your browser. Please enable JavaScript to view this website.

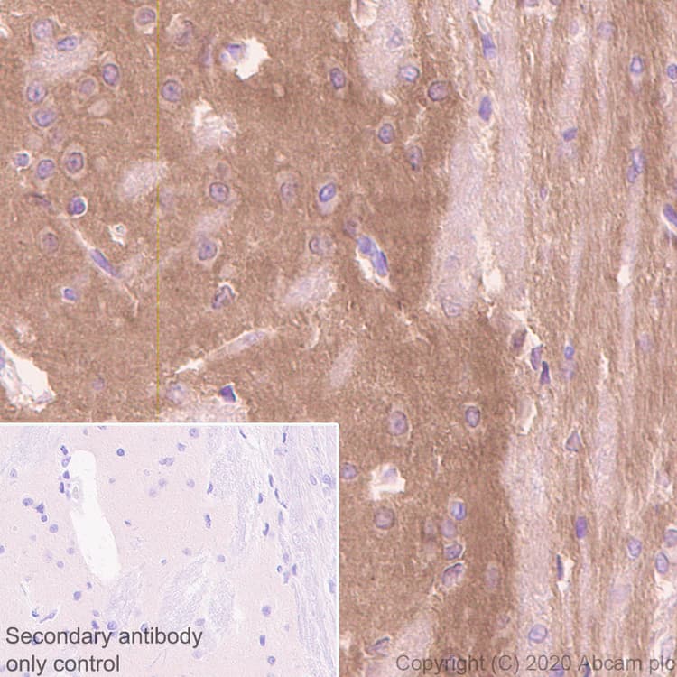
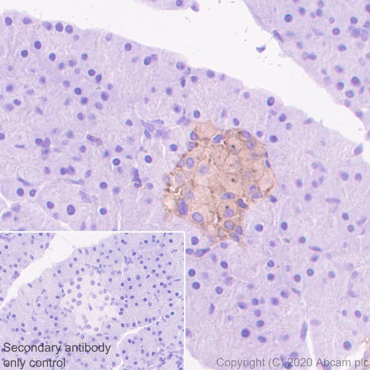
Anti-Calcium channel L type DHPR alpha 2 subunit/CACNA2D1 antibody [EPR23267-8] - BSA and Azide free(AB273881)

$undefined

Anti-Calcium channel L type DHPR alpha 2 subunit/CACNA2D1 antibody [EPR23267-8] - BSA and Azide free(AB273881)

Anti-Calcium channel L type DHPR alpha 2 subunit/CACNA2D1 antibody [EPR23267-8] - BSA and Azide free(AB273881)

Anti-Calcium channel L type DHPR alpha 2 subunit/CACNA2D1 antibody [EPR23267-8] - BSA and Azide free(AB273881)

Anti-Calcium channel L type DHPR alpha 2 subunit/CACNA2D1 antibody [EPR23267-8] - BSA and Azide free(AB273881)

Rabbit Recombinant Monoclonal Calcium channel L type DHPR alpha 2 subunit/CACNA2D1 antibody. Carrier free. Suitable for WB, IHC-P and reacts with Mouse, Rat samples.
Specifications
Shipped At Conditions Blue Ice
Appropriate Long term Storage Conditions Store at +4°C.
Clonality Monoclonal
Applications Human, Mouse, Rat
Species Reactivity Flow Cyt, ICC/IF, IHC-P, IP, WB
Isotype IgG
Conjugation -
CAS Number -