JavaScript is disabled in your browser. Please enable JavaScript to view this website.

Anti-Cdk7 antibody [EPR23695-115] - BSA and Azide free(ab273630)

$undefined

Anti-Cdk7 antibody [EPR23695-115] - BSA and Azide free(ab273630)

Anti-Cdk7 antibody [EPR23695-115] - BSA and Azide free(ab273630)

Anti-Cdk7 antibody [EPR23695-115] - BSA and Azide free(ab273630)

Anti-Cdk7 antibody [EPR23695-115] - BSA and Azide free(ab273630)

Anti-Cdk7 antibody [EPR23695-115] - BSA and Azide free(ab273630)

Anti-Cdk7 antibody [EPR23695-115] - BSA and Azide free(ab273630)

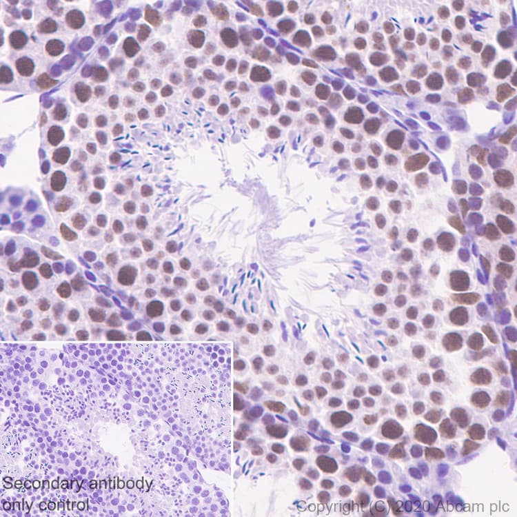
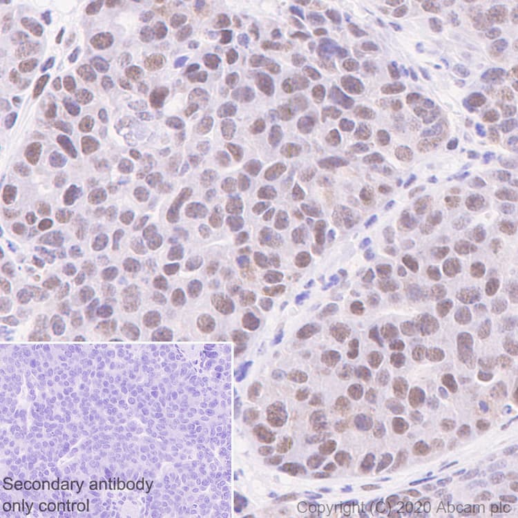
Rabbit Recombinant Monoclonal CDK7 antibody. Carrier free. Suitable for IP, WB, Flow Cyt (Intra), IHC-P and reacts with Mouse, Rat, Human samples.
Specifications
Shipped At Conditions Blue Ice
Appropriate Long term Storage Conditions Store at +4°C.
Clonality Monoclonal
Applications ChIP, Flow Cyt (Intra), ICC/IF, IHC-P, IP, WB
Species Reactivity Human, Mouse, Rat
Isotype IgG