JavaScript is disabled in your browser. Please enable JavaScript to view this website.

Anti-Inhibin alpha antibody [PO12/8] - BSA and Azide free(ab273486)

$undefined

Anti-Inhibin alpha antibody [PO12/8] - BSA and Azide free(ab273486)

Anti-Inhibin alpha antibody [PO12/8] - BSA and Azide free(ab273486)

Anti-Inhibin alpha antibody [PO12/8] - BSA and Azide free(ab273486)

Anti-Inhibin alpha antibody [PO12/8] - BSA and Azide free(ab273486)

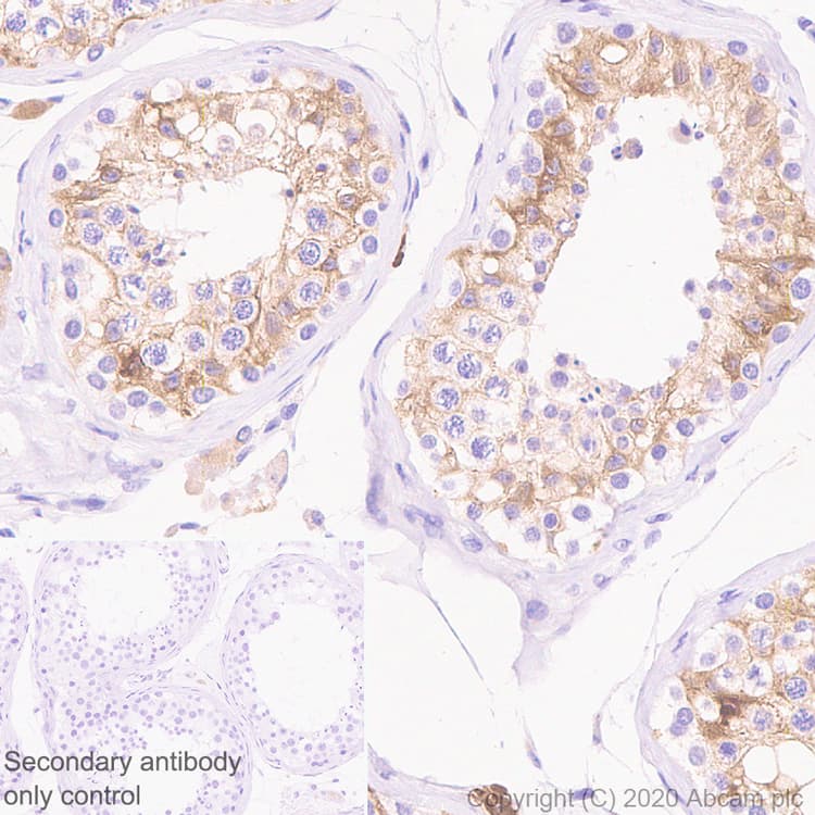
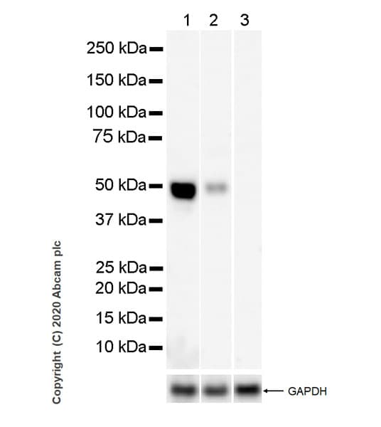
Mouse Recombinant Monoclonal Inhibin alpha antibody. Carrier free. Suitable for ELISA, WB, IHC-P and reacts with Human samples.
Specifications
Shipped At Conditions Blue Ice
Appropriate Long term Storage Conditions Store at +4°C.
Clonality Monoclonal
Applications ELISA, IHC-P, WB
Species Reactivity Human, Mouse, Rat
Isotype IgG2a