JavaScript is disabled in your browser. Please enable JavaScript to view this website.

Anti-APLP1 antibody [AP1] - BSA and Azide free(ab273469)

$undefined

Anti-APLP1 antibody [AP1] - BSA and Azide free(ab273469)

Anti-APLP1 antibody [AP1] - BSA and Azide free(ab273469)

Anti-APLP1 antibody [AP1] - BSA and Azide free(ab273469)

Anti-APLP1 antibody [AP1] - BSA and Azide free(ab273469)

Anti-APLP1 antibody [AP1] - BSA and Azide free(ab273469)

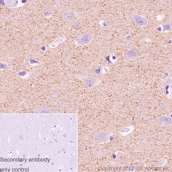
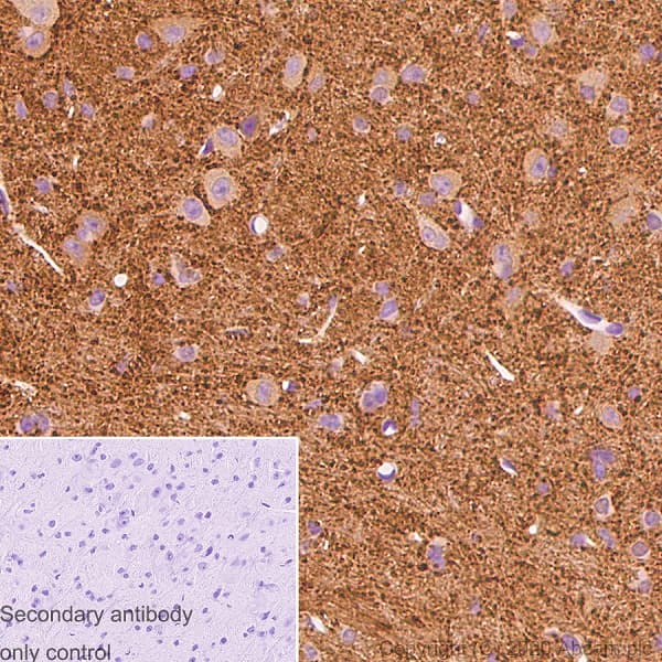
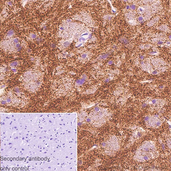
Mouse Recombinant Monoclonal APLP1 antibody. Carrier free. Suitable for IHC-P, WB and reacts with Mouse, Rat, Human samples.
Specifications
Shipped At Conditions Blue Ice
Appropriate Long term Storage Conditions Store at +4°C.
Clonality Monoclonal
Applications IHC-Fr, IHC-P, WB
Species Reactivity Human, Mouse, Rat
Isotype IgG1