JavaScript is disabled in your browser. Please enable JavaScript to view this website.

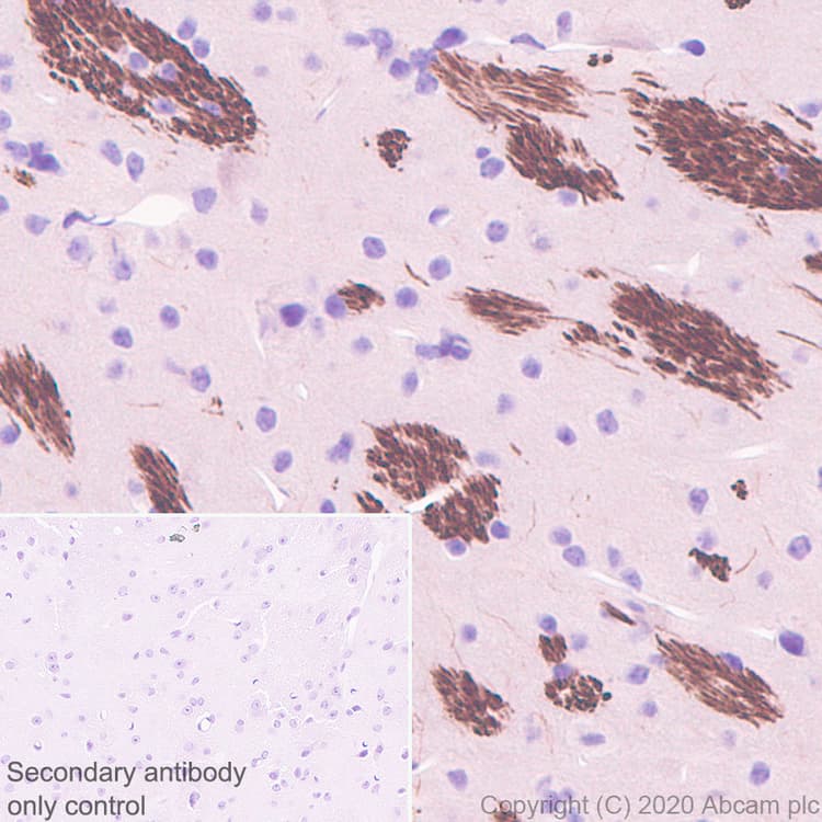
Anti-68kDa Neurofilament/NF-L antibody [NfL23](ab273442)

$undefined

Anti-68kDa Neurofilament/NF-L antibody [NfL23](ab273442)

Anti-68kDa Neurofilament/NF-L antibody [NfL23](ab273442)

Anti-68kDa Neurofilament/NF-L antibody [NfL23](ab273442)

Anti-68kDa Neurofilament/NF-L antibody [NfL23](ab273442)

Anti-68kDa Neurofilament/NF-L antibody [NfL23](ab273442)

Mouse Recombinant Monoclonal 68kDa Neurofilament/NF-L antibody. Suitable for WB, IHC-P and reacts with Mouse, Rat, Human samples.
Specifications
Shipped At Conditions Blue Ice
Appropriate Long term Storage Conditions Store at -20°C.
Clonality Monoclonal
Applications ICC/IF, IHC-Fr, IHC-P, WB
Species Reactivity Human, Mouse, Rat
Isotype IgG1