JavaScript is disabled in your browser. Please enable JavaScript to view this website.

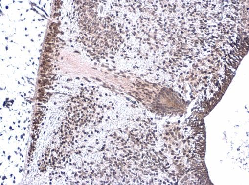
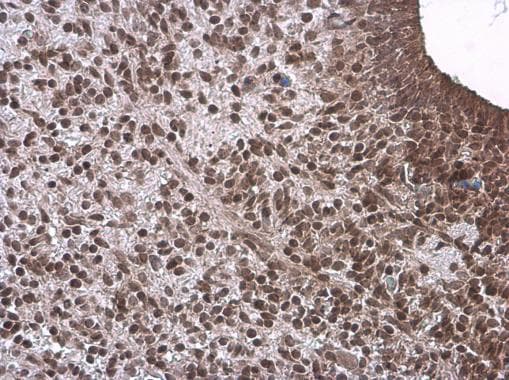
Anti-Neurogenin 1/NEUROG1 antibody(AB272926)

$undefined

Anti-Neurogenin 1/NEUROG1 antibody(AB272926)

Anti-Neurogenin 1/NEUROG1 antibody(AB272926)

Anti-Neurogenin 1/NEUROG1 antibody(AB272926)

Anti-Neurogenin 1/NEUROG1 antibody(AB272926)

Rabbit Polyclonal Neurogenin 1/NEUROG1 antibody. Suitable for IHC-P, WB, ICC/IF and reacts with Mouse, Human, Rat samples. Cited in 1 publication. Immunogen corresponding to Recombinant Fragment Protein within Mouse Neurogenin-1.
Specifications
Shipped At Conditions Blue Ice
Appropriate Long term Storage Conditions Store at -20°C.
Clonality Polyclonal
Applications ICC/IF, IHC-P, WB
Species Reactivity Human, Mouse, Rat
Isotype IgG