Immunohistochemistry (Formalin/PFA-fixed paraffin-embedded sections) - Anti-SARS-CoV-2 spike glycoprotein antibody - Coronavirus (ab272504)
Immunohistochemical analysis of paraffin-embedded COVID-19 patient lung tissue using anti-SARS-CoV-2 (COVID-19) Spike S2 antibody (ab272504, 0.5 μg/mL). Tissue was fixed with formaldehyde and blocked with 10% serum for 1 hour at room temperature; antigen retrieval was by heat mediation with a citrate buffer (pH6). Samples were incubated with primary antibody overnight at 4°C. A goat anti-rabbit IgG H&L (HRP) at 1/250 was used as secondary. Counter stained with Hematoxylin. Strong spike protein signal was observed in macrophages and airway epithelium of COVID-19 patient lung but not in non-COVID-19 patient lung.

Western blot - Anti-SARS-CoV-2 spike glycoprotein antibody - Coronavirus (ab272504)
Primary incubation for 1 hour at room temperature.
Blocking and dilution buffer: 5% NFDM/TBST.
All lanes:
Western blot - Anti-SARS-CoV-2 spike glycoprotein antibody - Coronavirus (ab272504) at 1 µg/mL
Lane 1:
Wild-type HEK-293 cell lysate at 15 µg
Lane 2:
HEK-293 overexpressing SARS-CoV-2 spike glycoprotein, cell lysate at 15 µg
Secondary
All lanes:
Goat anti-rabbit IgG HRP conjugate at 1/10000 dilution

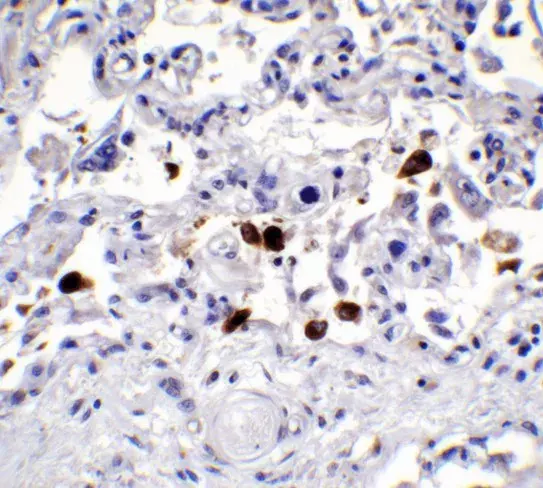
Immunohistochemistry (Formalin/PFA-fixed paraffin-embedded sections) - Anti-SARS-CoV-2 spike glycoprotein antibody - Coronavirus (ab272504)
Immunohistochemical analysis of paraffin-embedded COVID-19 patient lung tissue using anti-SARS-CoV-2 (COVID-19) Spike S2 antibody (ab272504, 0.5 μg/mL). Tissue was fixed with formaldehyde and blocked with 10% serum for 1 hour at room temperature; antigen retrieval was by heat mediation with a citrate buffer (pH6). Samples were incubated with primary antibody overnight at 4°C. A goat anti-rabbit IgG H&L (HRP) at 1/250 was used as secondary. Counter stained with Hematoxylin. Strong spike protein signal was observed in macrophages of COVID-19 patient lung.

ELISA - Anti-SARS-CoV-2 spike glycoprotein antibody - Coronavirus (ab272504)
A direct ELISA was performed using antigen or control peptide as coating antigen and ab272504 as the capture antibody at 1 μg/ml, followed by the secondary antibody goat anti-rabbit IgG HRP conjugate at 1/20000 dilution. Detection range was from 0.5 ng/ml to 1000 ng/ml.
