JavaScript is disabled in your browser. Please enable JavaScript to view this website.

Anti-Ly-6K antibody [EPR23021-61] - BSA and Azide free(ab272394)

$undefined

Anti-Ly-6K antibody [EPR23021-61] - BSA and Azide free(ab272394)

Anti-Ly-6K antibody [EPR23021-61] - BSA and Azide free(ab272394)

Anti-Ly-6K antibody [EPR23021-61] - BSA and Azide free(ab272394)

Anti-Ly-6K antibody [EPR23021-61] - BSA and Azide free(ab272394)

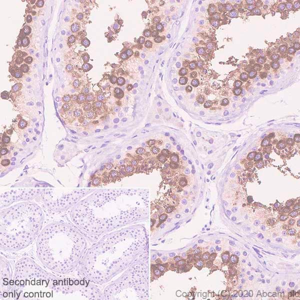
Rabbit Recombinant Monoclonal Ly-6K antibody. Carrier free. Suitable for IP, WB, IHC-P and reacts with Human samples.
Specifications
Shipped At Conditions Blue Ice
Appropriate Long term Storage Conditions Store at +4°C.
Clonality Monoclonal
Applications Flow Cyt, ICC/IF, IHC-P, IP, WB
Species Reactivity Human, Mouse, Rat
Isotype IgG