JavaScript is disabled in your browser. Please enable JavaScript to view this website.

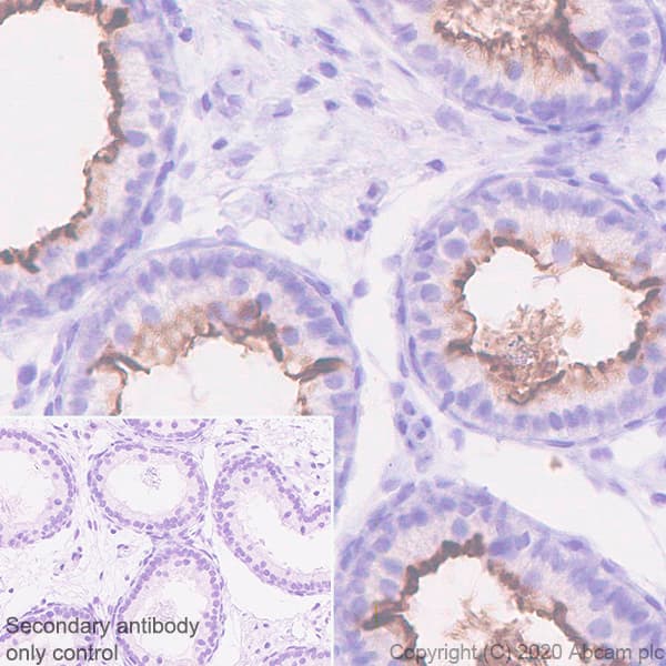
Anti-GPCR GPR64 antibody [EPR23658-2](ab272390)

$undefined

Anti-GPCR GPR64 antibody [EPR23658-2](ab272390)

Anti-GPCR GPR64 antibody [EPR23658-2](ab272390)

Anti-GPCR GPR64 antibody [EPR23658-2](ab272390)

Anti-GPCR GPR64 antibody [EPR23658-2](ab272390)

Anti-GPCR GPR64 antibody [EPR23658-2](ab272390)

Anti-GPCR GPR64 antibody [EPR23658-2](ab272390)

Anti-GPCR GPR64 antibody [EPR23658-2](ab272390)

Anti-GPCR GPR64 antibody [EPR23658-2](ab272390)

Rabbit Recombinant Monoclonal GPCR GPR64 antibody. Suitable for WB, IHC-P, ICC/IF and reacts with Human, Mouse, Rat samples.
Specifications
Shipped At Conditions Blue Ice
Appropriate Long term Storage Conditions Store at -20°C.
Clonality Monoclonal
Applications Flow Cyt, ICC/IF, IHC-Fr, IHC-P, IP, WB
Species Reactivity Human, Mouse, Rat
Isotype IgG