JavaScript is disabled in your browser. Please enable JavaScript to view this website.

Anti-MafA antibody [EPR23582-9] - BSA and Azide free(ab272324)

$undefined

Anti-MafA antibody [EPR23582-9] - BSA and Azide free(ab272324)

Anti-MafA antibody [EPR23582-9] - BSA and Azide free(ab272324)

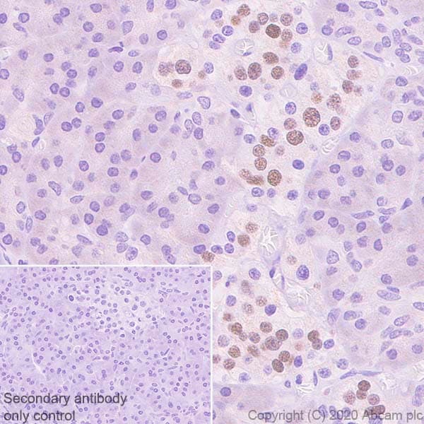
Rabbit Recombinant Monoclonal MAFA antibody. Carrier free. Suitable for IHC-P and reacts with Human samples.
Specifications
Shipped At Conditions Blue Ice
Appropriate Long term Storage Conditions Store at +4°C.
Clonality Monoclonal
Applications IHC-Fr, IHC-P, IP, WB
Species Reactivity Human, Mouse, Rat
Isotype IgG