JavaScript is disabled in your browser. Please enable JavaScript to view this website.

Anti-L1CAM antibody [EPR23241-224] - BSA and Azide free(ab272321)

$undefined

Anti-L1CAM antibody [EPR23241-224] - BSA and Azide free(ab272321)

Anti-L1CAM antibody [EPR23241-224] - BSA and Azide free(ab272321)

Anti-L1CAM antibody [EPR23241-224] - BSA and Azide free(ab272321)

Anti-L1CAM antibody [EPR23241-224] - BSA and Azide free(ab272321)

Anti-L1CAM antibody [EPR23241-224] - BSA and Azide free(ab272321)

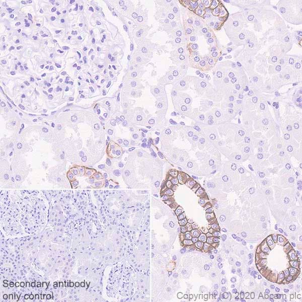
Rabbit Recombinant Monoclonal L1CAM antibody. Carrier free. Suitable for IP, Flow Cyt, WB, ICC/IF, IHC-P and reacts with Human samples. Cited in 1 publication.
Specifications
Shipped At Conditions Blue Ice
Appropriate Long term Storage Conditions Store at +4°C.
Clonality Monoclonal
Applications Flow Cyt, ICC/IF, IHC-P, IP, WB
Species Reactivity Human, Mouse, Rat
Isotype IgG