JavaScript is disabled in your browser. Please enable JavaScript to view this website.

Anti-AMH antibody [EPR23380-171](AB272221)

$undefined

Anti-AMH antibody [EPR23380-171](AB272221)

Anti-AMH antibody [EPR23380-171](AB272221)

Anti-AMH antibody [EPR23380-171](AB272221)

Anti-AMH antibody [EPR23380-171](AB272221)

Anti-AMH antibody [EPR23380-171](AB272221)

Anti-AMH antibody [EPR23380-171](AB272221)

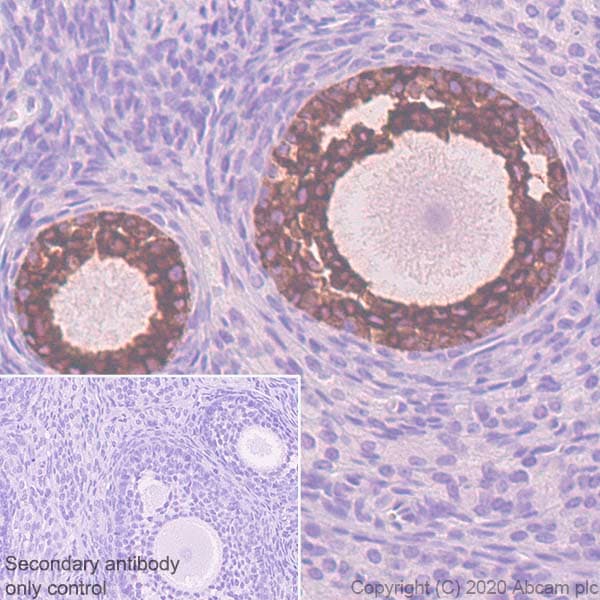
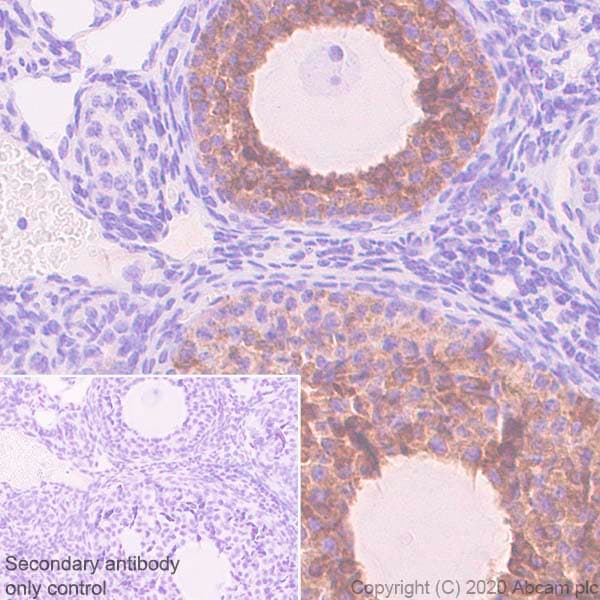
Rabbit Recombinant Monoclonal AMH antibody. Suitable for IHC-Fr, IHC-P and reacts with Mouse, Rat samples. Cited in 1 publication.
Specifications
Shipped At Conditions Blue Ice
Appropriate Long term Storage Conditions Store at -20°C.
Clonality Monoclonal
Applications IHC-Fr, IHC-P, IP, WB
Species Reactivity Human, Mouse, Rat
Isotype IgG