JavaScript is disabled in your browser. Please enable JavaScript to view this website.

Anti-Niemann Pick C2 antibody [EPR19993] - BSA and Azide free(AB271975)

$undefined

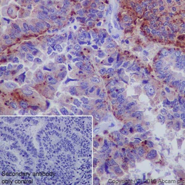
Niemann Pick C2 Antibody Epr19993 Bsa And Azide Free Ab271975  Immunohistochemistry Formalin Pfa Fixed Paraffin Embedded Sections Img11908

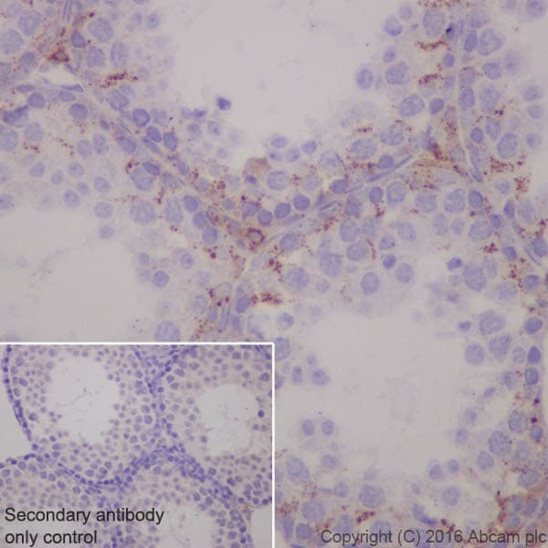
Niemann Pick C2 Antibody Epr19993 Bsa And Azide Free Ab271975  Immunohistochemistry Formalin Pfa Fixed Paraffin Embedded Sections Img67922

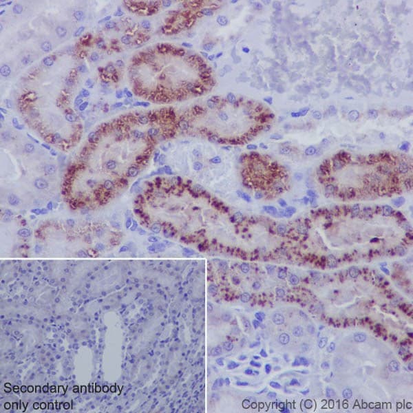
Niemann Pick C2 Antibody Epr19993 Bsa And Azide Free Ab271975  Immunohistochemistry Formalin Pfa Fixed Paraffin Embedded Sections Img77906

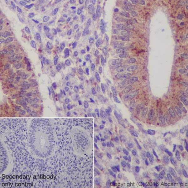
Niemann Pick C2 Antibody Epr19993 Bsa And Azide Free Ab271975  Immunohistochemistry Formalin Pfa Fixed Paraffin Embedded Sections Img19088

Rabbit Recombinant Monoclonal Niemann Pick C2 antibody. Carrier free. Suitable for WB, IHC-P and reacts with Mouse, Rat, Human samples.
Specifications
Shipped At Conditions Blue Ice
Appropriate Long term Storage Conditions Store at +4°C.
Clonality Monoclonal
Applications IHC-P, WB
Species Reactivity Human, Mouse, Rat
Isotype IgG