JavaScript is disabled in your browser. Please enable JavaScript to view this website.

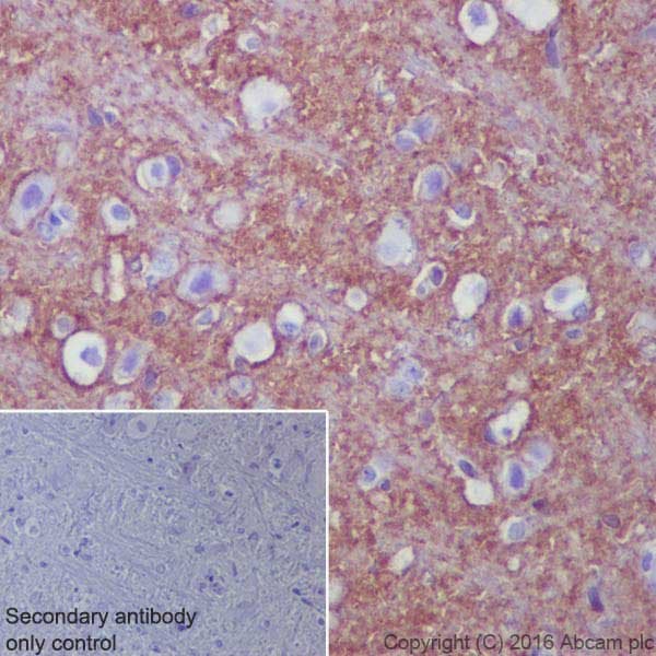
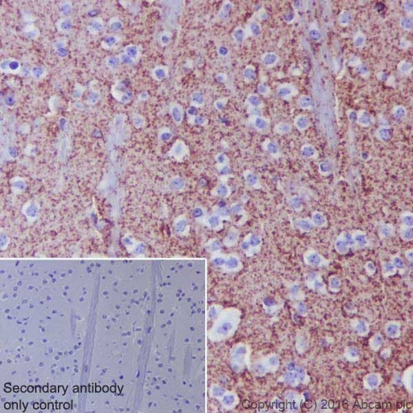
Anti-EAAT2 antibody [EPR19798] - BSA and Azide free(AB271970)

$undefined

Anti-EAAT2 antibody [EPR19798] - BSA and Azide free(AB271970)

Anti-EAAT2 antibody [EPR19798] - BSA and Azide free(AB271970)

Anti-EAAT2 antibody [EPR19798] - BSA and Azide free(AB271970)

Anti-EAAT2 antibody [EPR19798] - BSA and Azide free(AB271970)

Anti-EAAT2 antibody [EPR19798] - BSA and Azide free(AB271970)

Rabbit Recombinant Monoclonal EAAT2 antibody. Carrier free. Suitable for IP, WB, IHC-P, IHC-Fr and reacts with Mouse, Rat samples.
Specifications
Shipped At Conditions Blue Ice
Appropriate Long term Storage Conditions Store at +4°C.
Clonality Monoclonal
Applications IHC-Fr, IHC-P, IP, WB
Species Reactivity Mouse, Rat
Isotype IgG