JavaScript is disabled in your browser. Please enable JavaScript to view this website.

Anti-Chk2 antibody [EPR19236] - BSA and Azide free(AB271961)

$undefined

Anti-Chk2 antibody [EPR19236] - BSA and Azide free(AB271961)

Anti-Chk2 antibody [EPR19236] - BSA and Azide free(AB271961)

Anti-Chk2 antibody [EPR19236] - BSA and Azide free(AB271961)

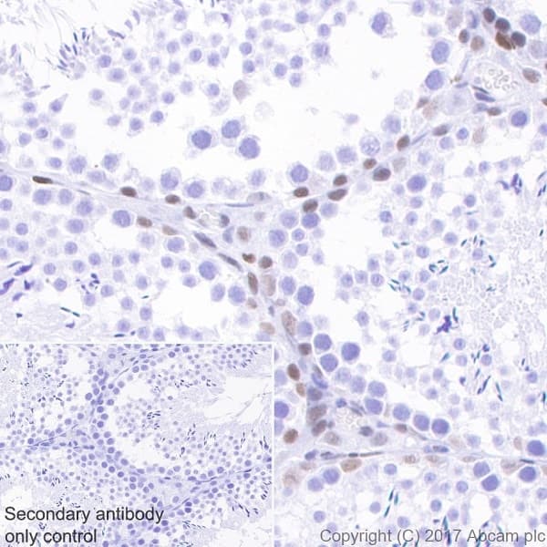
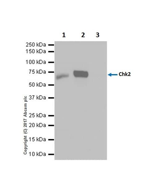
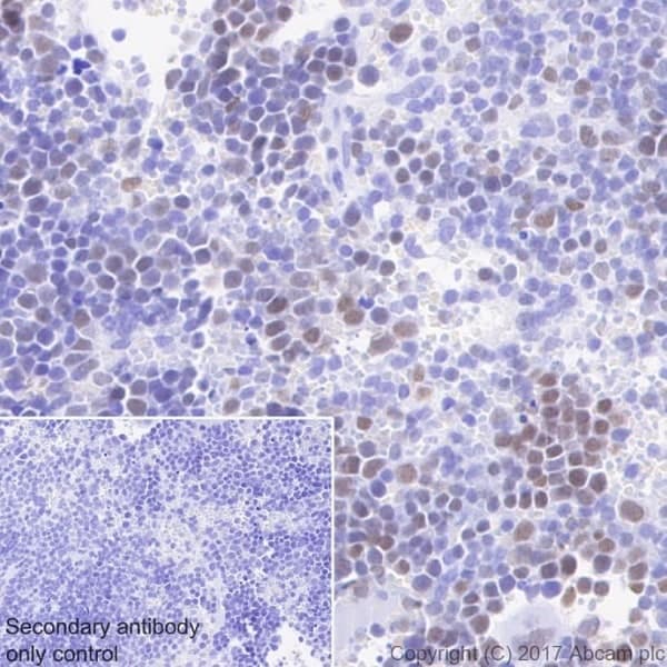
Rabbit Recombinant Monoclonal Chk2 antibody. Carrier free. Suitable for IHC-P, IP, WB and reacts with Mouse samples.
Specifications
Shipped At Conditions Blue Ice
Appropriate Long term Storage Conditions Store at +4°C.
Clonality Monoclonal
Applications IHC-P, IP, WB
Species Reactivity Mouse
Isotype IgG