JavaScript is disabled in your browser. Please enable JavaScript to view this website.

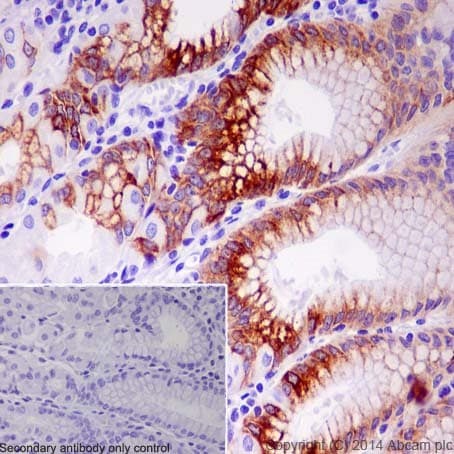
Anti-Mucin 5AC antibody [EPR16904] - BSA and Azide free(AB271960)

$undefined

Anti-Mucin 5AC antibody [EPR16904] - BSA and Azide free(AB271960)

Anti-Mucin 5AC antibody [EPR16904] - BSA and Azide free(AB271960)

Anti-Mucin 5AC antibody [EPR16904] - BSA and Azide free(AB271960)

Rabbit Recombinant Monoclonal Mucin 5AC antibody. Carrier free. Suitable for WB, ICC/IF, IHC-P and reacts with Human samples.
Specifications
Shipped At Conditions Blue Ice
Appropriate Long term Storage Conditions Store at +4°C.
Clonality Monoclonal
Applications ICC/IF, IHC-P, WB
Species Reactivity Human
Isotype IgG