JavaScript is disabled in your browser. Please enable JavaScript to view this website.

Anti-Ubiquitin (linkage-specific K48) antibody [EP8589] - BSA and Azide free(AB271911)

$undefined

Anti-Ubiquitin (linkage-specific K48) antibody [EP8589] - BSA and Azide free(AB271911)

Anti-Ubiquitin (linkage-specific K48) antibody [EP8589] - BSA and Azide free(AB271911)

Anti-Ubiquitin (linkage-specific K48) antibody [EP8589] - BSA and Azide free(AB271911)

Anti-Ubiquitin (linkage-specific K48) antibody [EP8589] - BSA and Azide free(AB271911)

Anti-Ubiquitin (linkage-specific K48) antibody [EP8589] - BSA and Azide free(AB271911)

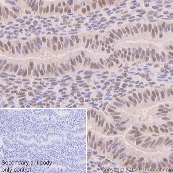
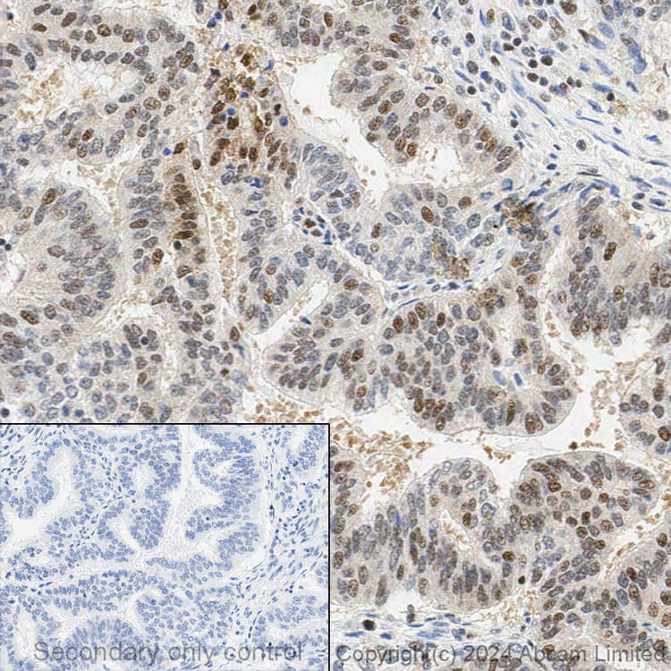
Rabbit Recombinant Monoclonal UBC Linkage-specific K48 antibody. Carrier free. Suitable for WB, IHC-P, ICC/IF, Flow Cyt (Intra) and reacts with Recombinant fragment, Human samples. Cited in 1 publication.
Specifications
Shipped At Conditions Blue Ice
Appropriate Long term Storage Conditions Store at +4°C.
Clonality Monoclonal
Applications Flow Cyt (Intra), ICC/IF, IHC-P, WB
Species Reactivity Human
Isotype IgG