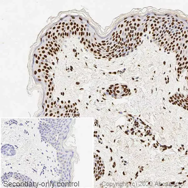
Immunohistochemistry (Formalin/PFA-fixed paraffin-embedded sections) - Anti-ds DNA antibody [35I9 DNA] - BSA and Azide free (ab27156)
IHC image of ds DNA staining in a section of formalin-fixed paraffin-embedded normal human skin* performed on a Leica BONDTM system using the standard protocol F. The section was pre-treated using heat mediated antigen retrieval with sodium citrate buffer (pH6, epitope retrieval solution 1) for 20mins. The section was then incubated with ab27156, 0.05ug/ml, for 15 mins at room temperature and detected using an HRP conjugated compact polymer system. DAB was used as the chromogen. The section was then counterstained with haematoxylin and mounted with DPX. The inset secondary-only control image is taken from an identical assay without primary antibody.
For other IHC staining systems (automated and non-automated) customers should optimize variable parameters such as antigen retrieval conditions, primary antibody concentration and antibody incubation times.
