JavaScript is disabled in your browser. Please enable JavaScript to view this website.

Anti-IL-6R antibody [EPR24322-143](AB271042)

$undefined

Anti-IL-6R antibody [EPR24322-143](AB271042)

Anti-IL-6R antibody [EPR24322-143](AB271042)

Anti-IL-6R antibody [EPR24322-143](AB271042)

Anti-IL-6R antibody [EPR24322-143](AB271042)

Anti-IL-6R antibody [EPR24322-143](AB271042)

Anti-IL-6R antibody [EPR24322-143](AB271042)

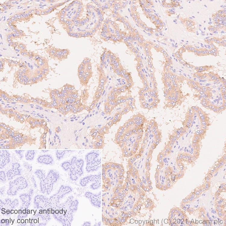
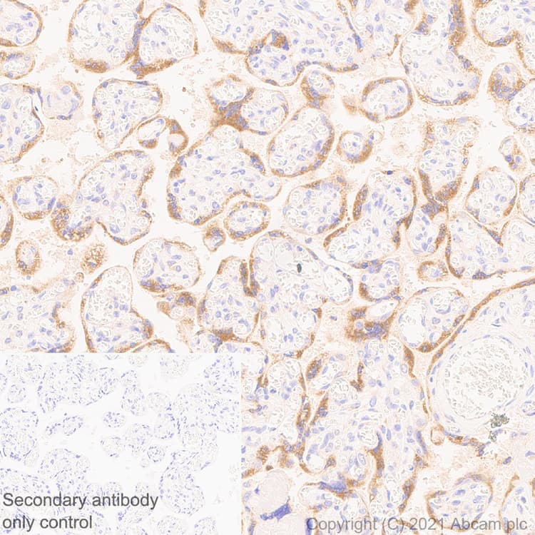
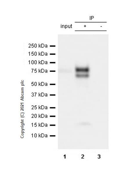
Rabbit Recombinant Monoclonal IL-6R antibody. Suitable for ICC/IF, IP, WB, IHC-P and reacts with Human samples. Cited in 1 publication.
Specifications
Shipped At Conditions Blue Ice
Appropriate Long term Storage Conditions Store at -20°C.
Clonality Monoclonal
Applications Flow Cyt (Intra), ICC/IF, IHC-P, IP, WB
Species Reactivity Human, Mouse, Rat
Isotype IgG