JavaScript is disabled in your browser. Please enable JavaScript to view this website.

Anti-IL2 Receptor beta/p75 antibody [EPR24336-29](AB271040)

$undefined

Il2 Receptor Beta P75 Antibody Epr24336 29 Ab271040  Western Blot Img166232

Il2 Receptor Beta P75 Antibody Epr24336 29 Ab271040  Western Blot Img176772

Il2 Receptor Beta P75 Antibody Epr24336 29 Ab271040  Immunoprecipitation Img172000

Il2 Receptor Beta P75 Antibody Epr24336 29 Ab271040  Immunohistochemistry Formalin Pfa Fixed Paraffin Embedded Sections Img168467

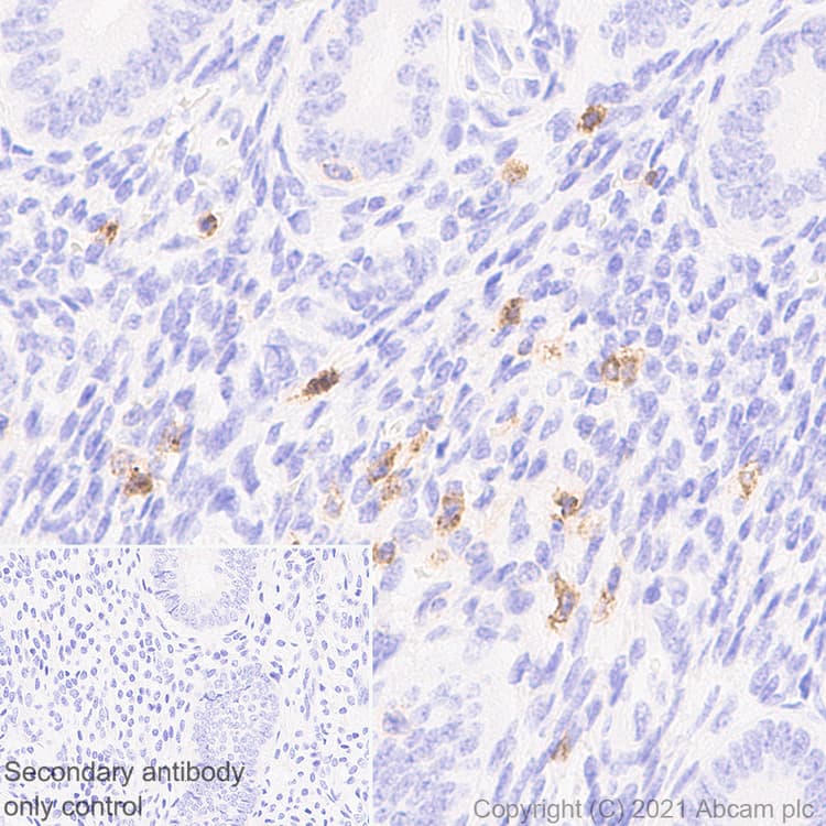
Il2 Receptor Beta P75 Antibody Epr24336 29 Ab271040  Immunohistochemistry Formalin Pfa Fixed Paraffin Embedded Sections Img170873

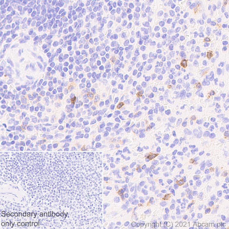
Il2 Receptor Beta P75 Antibody Epr24336 29 Ab271040  Immunohistochemistry Formalin Pfa Fixed Paraffin Embedded Sections Img176626

Il2 Receptor Beta P75 Antibody Epr24336 29 Ab271040  Immunohistochemistry Formalin Pfa Fixed Paraffin Embedded Sections Img168227

Rabbit Recombinant Monoclonal IL2 Receptor beta/p75 antibody. Suitable for IP, WB, IHC-P and reacts with Human samples. Cited in 1 publication.
Specifications
Shipped At Conditions Blue Ice
Appropriate Long term Storage Conditions Store at -20°C.
Clonality Monoclonal
Applications Flow Cyt (Intra), ICC/IF, IHC-P, IP, WB
Species Reactivity Human, Mouse, Rat
Isotype IgG