JavaScript is disabled in your browser. Please enable JavaScript to view this website.

Anti-GRHL2 antibody [EPR24386-76](AB271023)

$undefined

Anti-GRHL2 antibody [EPR24386-76](AB271023)

Anti-GRHL2 antibody [EPR24386-76](AB271023)

Anti-GRHL2 antibody [EPR24386-76](AB271023)

Anti-GRHL2 antibody [EPR24386-76](AB271023)

Anti-GRHL2 antibody [EPR24386-76](AB271023)

Anti-GRHL2 antibody [EPR24386-76](AB271023)

Anti-GRHL2 antibody [EPR24386-76](AB271023)

Anti-GRHL2 antibody [EPR24386-76](AB271023)

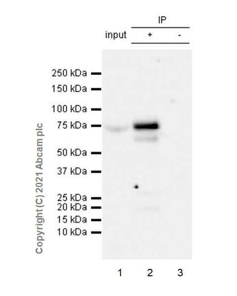
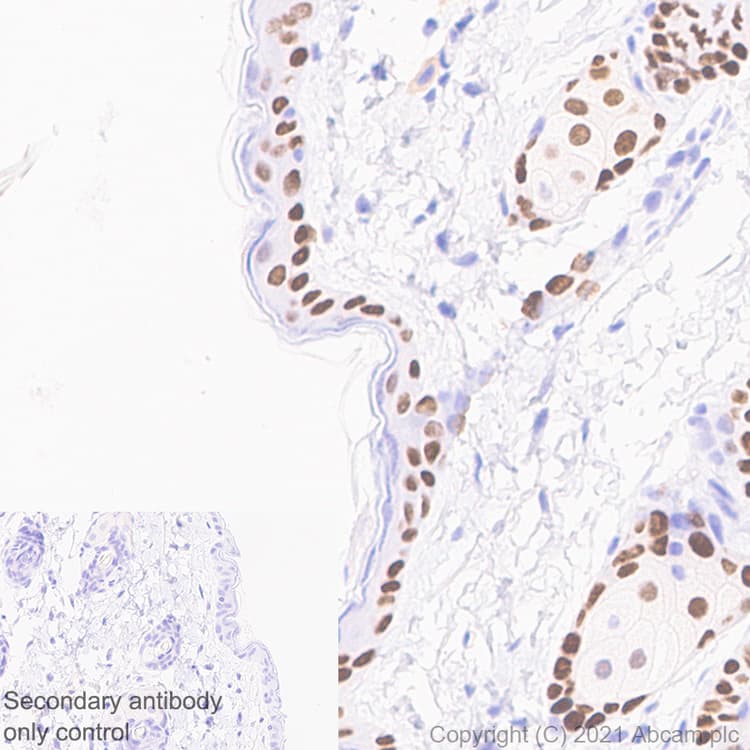
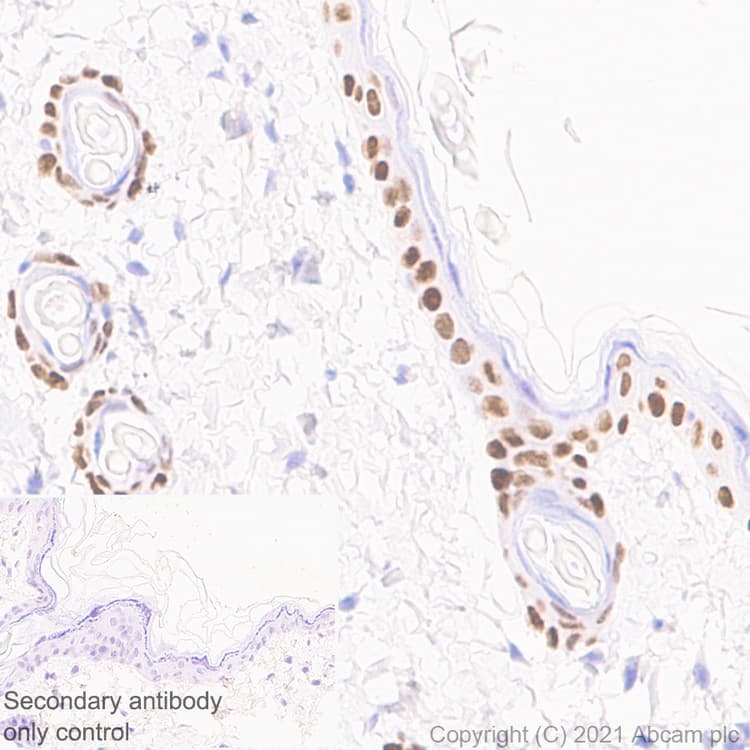
Rabbit Recombinant Monoclonal GRHL2 antibody. Suitable for ICC/IF, IP, Flow Cyt (Intra), WB, IHC-P and reacts with Human, Mouse, Rat samples.
Specifications
Shipped At Conditions Blue Ice
Appropriate Long term Storage Conditions Store at -20°C.
Clonality Monoclonal
Applications ChIP, Flow Cyt (Intra), ICC/IF, IHC-P, IP, WB
Species Reactivity Human, Mouse, Rat
Isotype IgG