JavaScript is disabled in your browser. Please enable JavaScript to view this website.

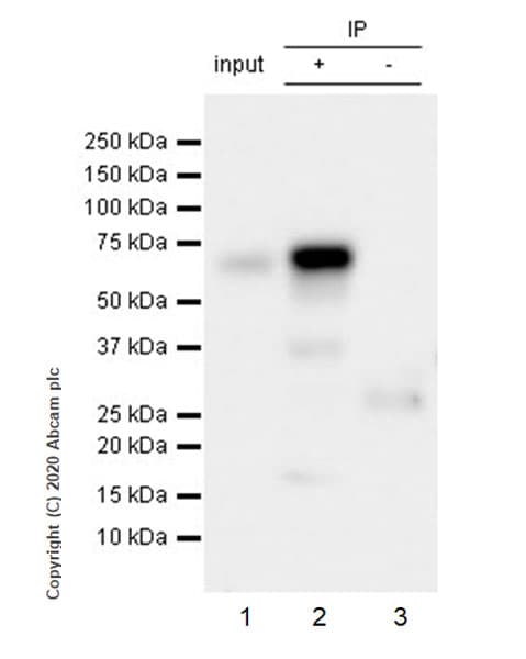
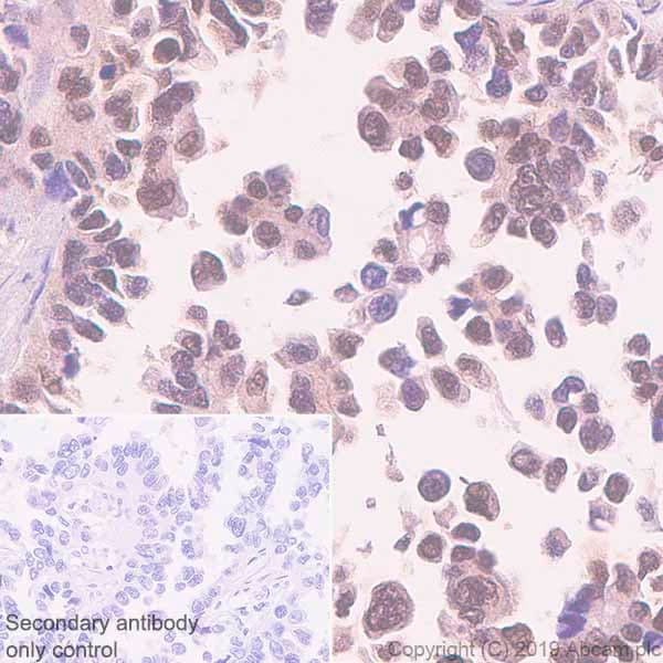
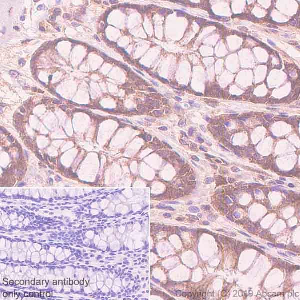
Anti-TFEB antibody [EPR22940-151](AB270604)

$undefined

Anti-TFEB antibody [EPR22940-151](AB270604)

Anti-TFEB antibody [EPR22940-151](AB270604)

Anti-TFEB antibody [EPR22940-151](AB270604)

Anti-TFEB antibody [EPR22940-151](AB270604)

Anti-TFEB antibody [EPR22940-151](AB270604)

Anti-TFEB antibody [EPR22940-151](AB270604)

Anti-TFEB antibody [EPR22940-151](AB270604)

Anti-TFEB antibody [EPR22940-151](AB270604)

Anti-TFEB antibody [EPR22940-151](AB270604)

Anti-TFEB antibody [EPR22940-151](AB270604)

Anti-TFEB antibody [EPR22940-151](AB270604)

Anti-TFEB antibody [EPR22940-151](AB270604)

Rabbit Recombinant Monoclonal TFEB antibody. Suitable for IP, WB, ICC/IF, Flow Cyt (Intra), IHC-P and reacts with Human samples. Cited in 10 publications.
Specifications
Shipped At Conditions Blue Ice
Appropriate Long term Storage Conditions Store at -20°C.
Clonality Monoclonal
Applications Human
Species Reactivity Flow Cyt (Intra), ICC/IF, IHC-P, IP, WB
Isotype IgG
Conjugation -
CAS Number -