JavaScript is disabled in your browser. Please enable JavaScript to view this website.

Anti-Prosurfactant Protein C antibody [EPR19839-8](ab270521)

$undefined

Anti-Prosurfactant Protein C antibody [EPR19839-8](ab270521)

Anti-Prosurfactant Protein C antibody [EPR19839-8](ab270521)

Anti-Prosurfactant Protein C antibody [EPR19839-8](ab270521)

Anti-Prosurfactant Protein C antibody [EPR19839-8](ab270521)

Anti-Prosurfactant Protein C antibody [EPR19839-8](ab270521)

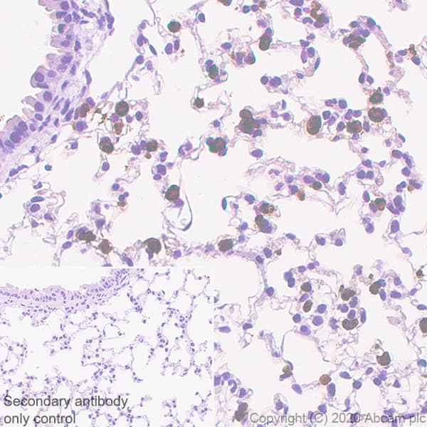
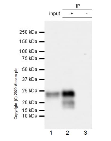
Rabbit Recombinant Monoclonal Prosurfactant Protein C antibody. Suitable for IHC-P, IP, WB, IHC-Fr and reacts with Mouse samples.
Specifications
Shipped At Conditions Blue Ice
Appropriate Long term Storage Conditions Store at -20°C.
Clonality Monoclonal
Applications IHC-Fr, IHC-P, IP, WB
Species Reactivity Human, Mouse, Rat
Isotype IgG