JavaScript is disabled in your browser. Please enable JavaScript to view this website.

Anti-Serpin A5 antibody [EPR23337-112](ab270451)

$undefined

Anti-Serpin A5 antibody [EPR23337-112](ab270451)

Anti-Serpin A5 antibody [EPR23337-112](ab270451)

Anti-Serpin A5 antibody [EPR23337-112](ab270451)

Anti-Serpin A5 antibody [EPR23337-112](ab270451)

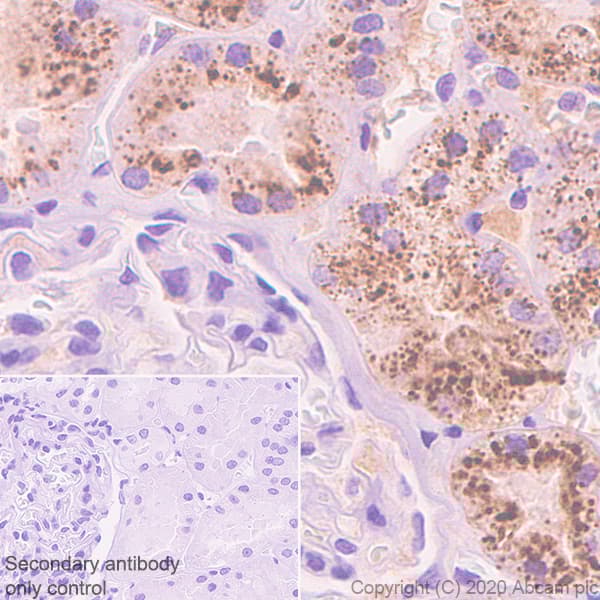
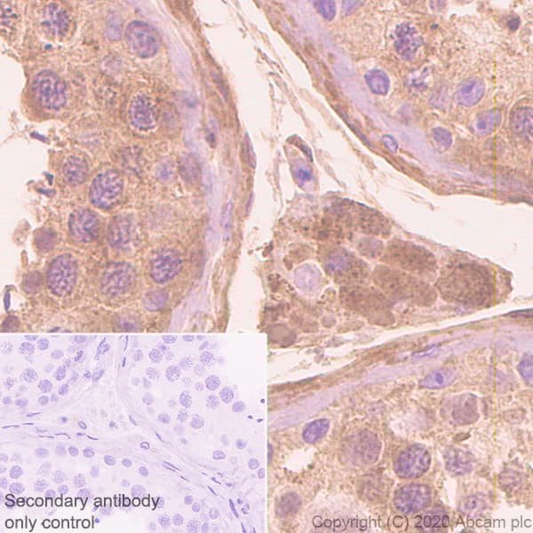
Rabbit Recombinant Monoclonal Serpin A5 antibody. Suitable for WB, IHC-P and reacts with Mouse, Rat, Human samples.
Specifications
Shipped At Conditions Blue Ice
Appropriate Long term Storage Conditions Store at -20°C.
Clonality Monoclonal
Applications Flow Cyt, ICC/IF, IHC-Fr, IHC-P, IP, WB
Species Reactivity Human, Mouse, Rat
Isotype IgG