JavaScript is disabled in your browser. Please enable JavaScript to view this website.

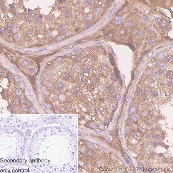
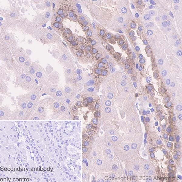
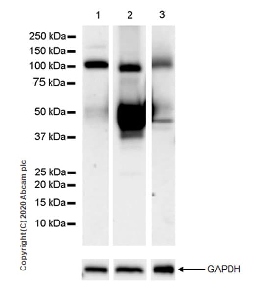
Anti-Serpin A5 antibody [EPR23337-69](ab270450)

$undefined

Anti-Serpin A5 antibody [EPR23337-69](ab270450)

Anti-Serpin A5 antibody [EPR23337-69](ab270450)

Anti-Serpin A5 antibody [EPR23337-69](ab270450)

Anti-Serpin A5 antibody [EPR23337-69](ab270450)

Anti-Serpin A5 antibody [EPR23337-69](ab270450)

Rabbit Recombinant Monoclonal Serpin A5 antibody. Suitable for IP, WB, IHC-P and reacts with Human samples.
Specifications
Shipped At Conditions Blue Ice
Appropriate Long term Storage Conditions Store at -20°C.
Clonality Monoclonal
Applications IHC-P, IP, WB
Species Reactivity Human, Mouse, Rat
Isotype IgG