JavaScript is disabled in your browser. Please enable JavaScript to view this website.

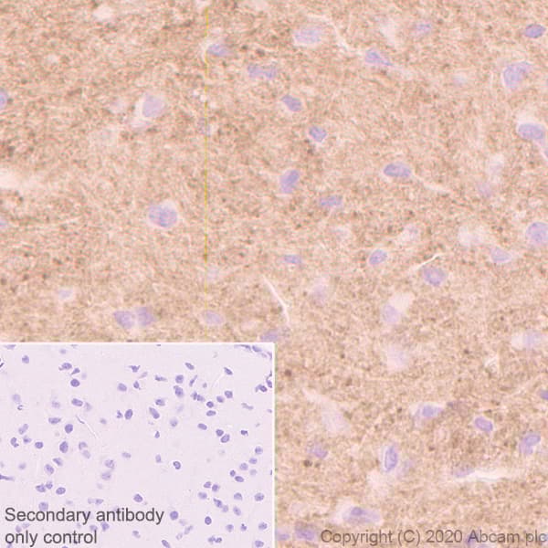
Anti-Versican antibody [EPR23374-151](ab270445)

$undefined

Anti-Versican antibody [EPR23374-151](ab270445)

Anti-Versican antibody [EPR23374-151](ab270445)

Anti-Versican antibody [EPR23374-151](ab270445)

Anti-Versican antibody [EPR23374-151](ab270445)

Anti-Versican antibody [EPR23374-151](ab270445)

Anti-Versican antibody [EPR23374-151](ab270445)

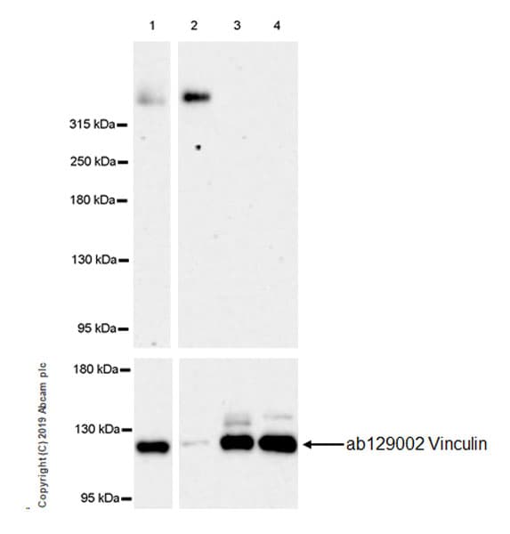
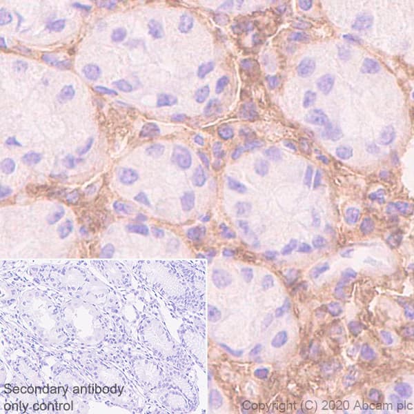
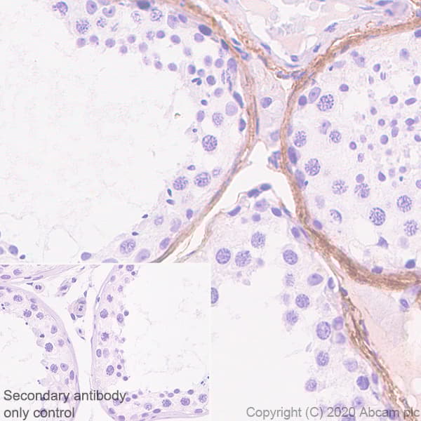
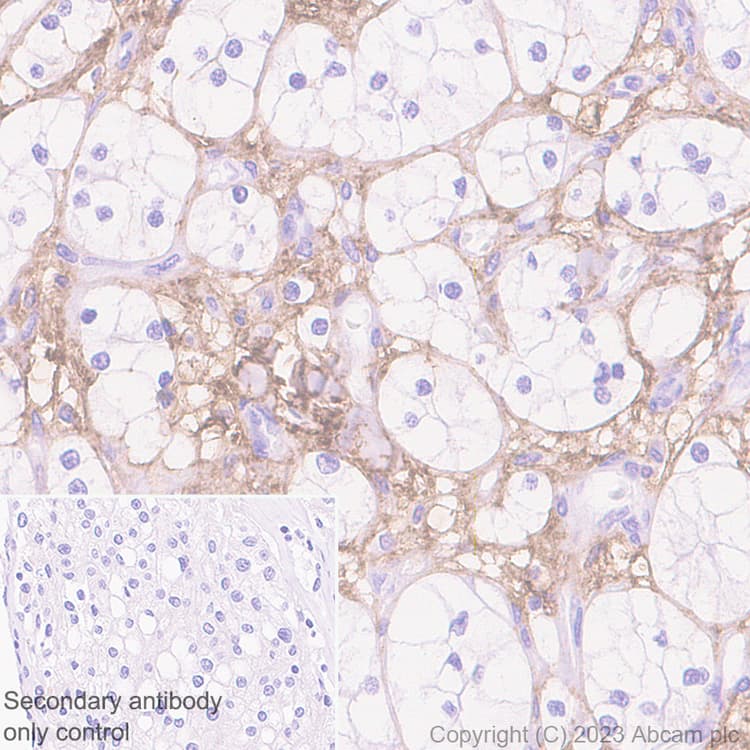
Rabbit Recombinant Monoclonal Versican antibody. Suitable for WB, IHC-P and reacts with Human, Mouse samples. Cited in 1 publication.
Specifications
Shipped At Conditions Blue Ice
Appropriate Long term Storage Conditions Store at -20°C.
Clonality Monoclonal
Applications Flow Cyt, ICC/IF, IHC-Fr, IHC-P, IP, WB
Species Reactivity Human, Mouse, Rat
Isotype IgG