JavaScript is disabled in your browser. Please enable JavaScript to view this website.

Anti-Ezrin antibody [EPR23353-55](ab270442)

$undefined

Anti-Ezrin antibody [EPR23353-55](ab270442)

Anti-Ezrin antibody [EPR23353-55](ab270442)

Anti-Ezrin antibody [EPR23353-55](ab270442)

Anti-Ezrin antibody [EPR23353-55](ab270442)

Anti-Ezrin antibody [EPR23353-55](ab270442)

Anti-Ezrin antibody [EPR23353-55](ab270442)

Anti-Ezrin antibody [EPR23353-55](ab270442)

Anti-Ezrin antibody [EPR23353-55](ab270442)

Anti-Ezrin antibody [EPR23353-55](ab270442)

Anti-Ezrin antibody [EPR23353-55](ab270442)

Anti-Ezrin antibody [EPR23353-55](ab270442)

Anti-Ezrin antibody [EPR23353-55](ab270442)

Anti-Ezrin antibody [EPR23353-55](ab270442)

Anti-Ezrin antibody [EPR23353-55](ab270442)

Anti-Ezrin antibody [EPR23353-55](ab270442)

Anti-Ezrin antibody [EPR23353-55](ab270442)

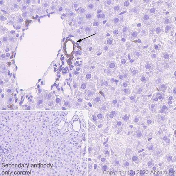
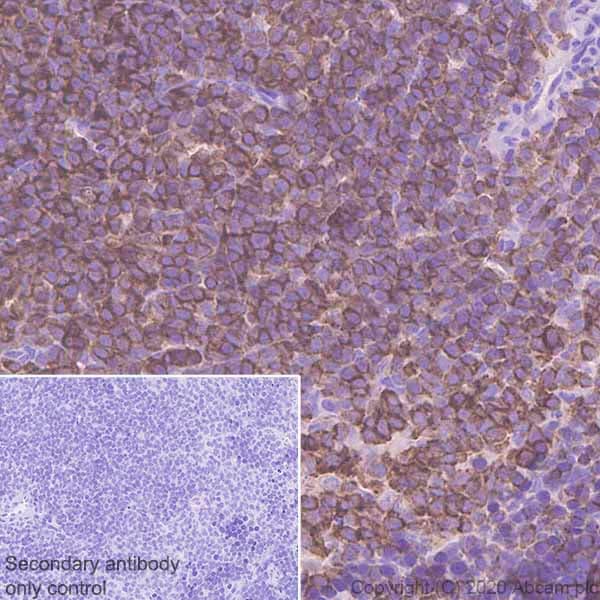
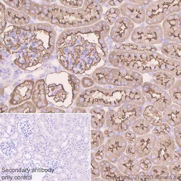
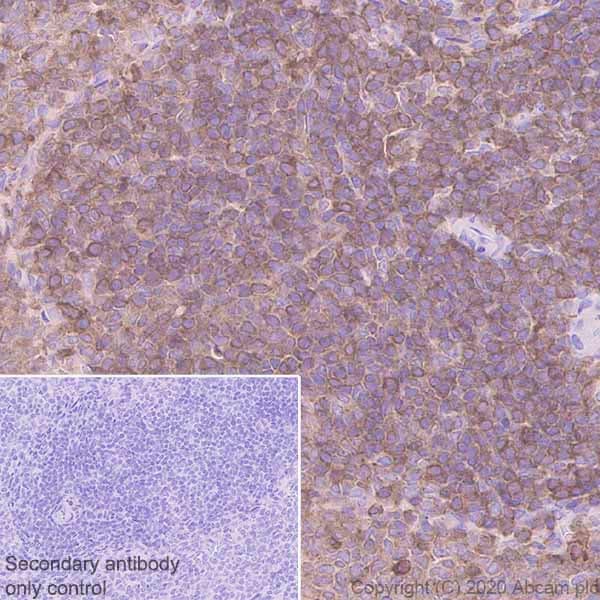
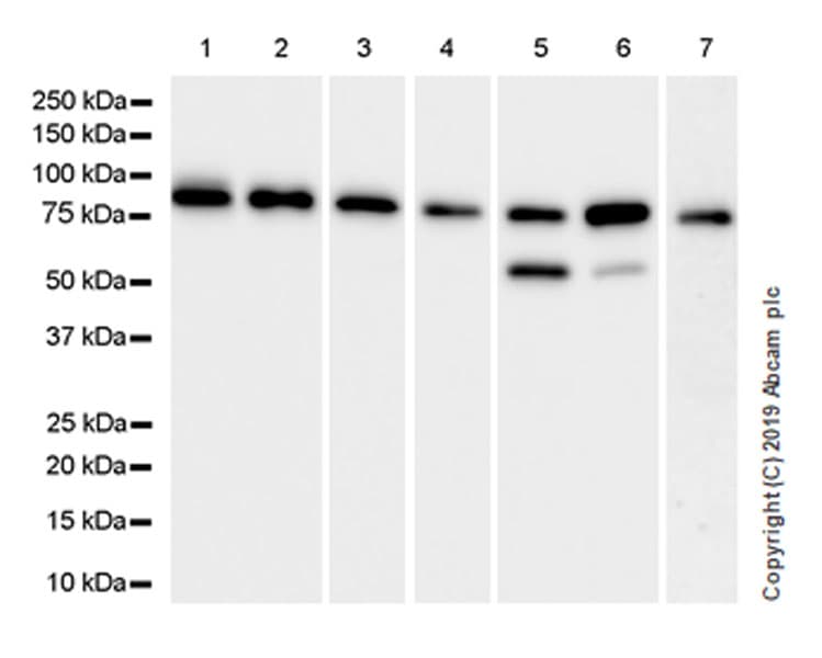
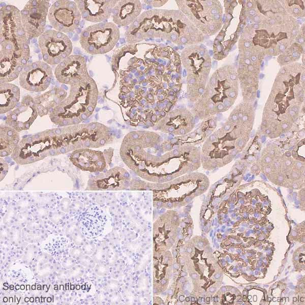
Rabbit Recombinant Monoclonal Ezrin antibody. Suitable for IP, WB, ICC/IF, Flow Cyt (Intra), IHC-P and reacts with Mouse, Rat, Human samples. Cited in 2 publications.
Specifications
Shipped At Conditions Blue Ice
Appropriate Long term Storage Conditions Store at -20°C.
Clonality Monoclonal
Applications Flow Cyt (Intra), ICC/IF, IHC-P, IP, WB
Species Reactivity Human, Mouse, Rat
Isotype IgG