JavaScript is disabled in your browser. Please enable JavaScript to view this website.

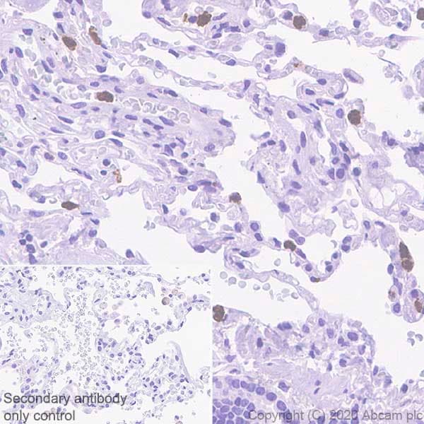
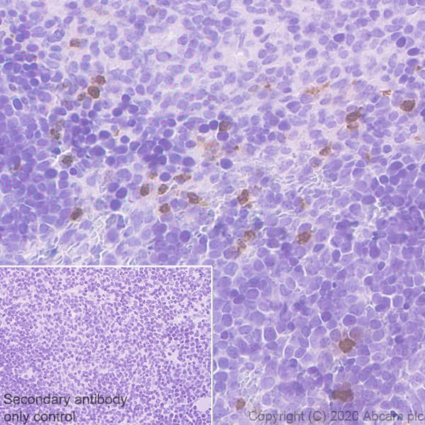
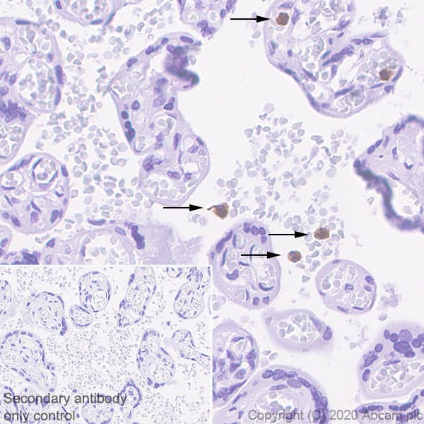
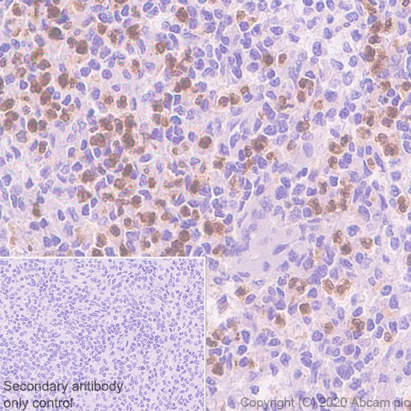
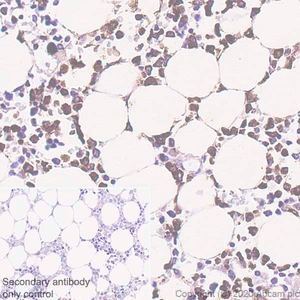
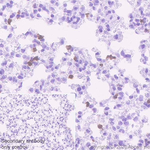
Anti-PR3 antibody [EPR23253-35](ab270441)

$undefined

Anti-PR3 antibody [EPR23253-35](ab270441)

Anti-PR3 antibody [EPR23253-35](ab270441)

Anti-PR3 antibody [EPR23253-35](ab270441)

Anti-PR3 antibody [EPR23253-35](ab270441)

Anti-PR3 antibody [EPR23253-35](ab270441)

Anti-PR3 antibody [EPR23253-35](ab270441)

Anti-PR3 antibody [EPR23253-35](ab270441)

Anti-PR3 antibody [EPR23253-35](ab270441)

Rabbit Recombinant Monoclonal PR3 antibody. Suitable for ICC/IF, IHC-P and reacts with Mouse, Human samples. Cited in 2 publications.
Specifications
Shipped At Conditions Blue Ice
Appropriate Long term Storage Conditions Store at -20°C.
Clonality Monoclonal
Applications Flow Cyt, ICC/IF, IHC-P, IP, WB
Species Reactivity Human, Mouse, Rat
Isotype IgG