JavaScript is disabled in your browser. Please enable JavaScript to view this website.

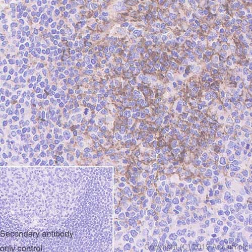
Anti-CXCL13 antibody [EPR23400-92] - BSA and Azide free(ab270408)

$undefined

Anti-CXCL13 antibody [EPR23400-92] - BSA and Azide free(ab270408)

Anti-CXCL13 antibody [EPR23400-92] - BSA and Azide free(ab270408)

Anti-CXCL13 antibody [EPR23400-92] - BSA and Azide free(ab270408)

Rabbit Recombinant Monoclonal BCA1 antibody. Carrier free. Suitable for IHC-P and reacts with Human samples.
Specifications
Shipped At Conditions Blue Ice
Appropriate Long term Storage Conditions Store at +4°C.
Clonality Monoclonal
Applications Flow Cyt, ICC/IF, IHC-P, IP, WB
Species Reactivity Human, Mouse, Rat
Isotype IgG