JavaScript is disabled in your browser. Please enable JavaScript to view this website.

Anti-Neuroserpin antibody [EPR23329-221] - BSA and Azide free(ab270403)

$undefined

Anti-Neuroserpin antibody [EPR23329-221] - BSA and Azide free(ab270403)

Anti-Neuroserpin antibody [EPR23329-221] - BSA and Azide free(ab270403)

Anti-Neuroserpin antibody [EPR23329-221] - BSA and Azide free(ab270403)

Anti-Neuroserpin antibody [EPR23329-221] - BSA and Azide free(ab270403)

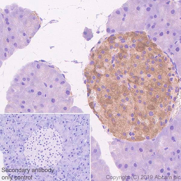
Rabbit Recombinant Monoclonal Neuroserpin antibody. Carrier free. Suitable for IHC-P, WB and reacts with Human, Rat, Mouse samples.
Specifications
Shipped At Conditions Blue Ice
Appropriate Long term Storage Conditions Store at +4°C.
Clonality Monoclonal
Applications ICC, IHC, IHC-Fr, IHC-P, WB
Species Reactivity Human, Mouse, Rat
Isotype IgG