JavaScript is disabled in your browser. Please enable JavaScript to view this website.

Anti-UNQ511 antibody [EPR23557-128] - BSA and Azide free(ab270402)

$undefined

Anti-UNQ511 antibody [EPR23557-128] - BSA and Azide free(ab270402)

Anti-UNQ511 antibody [EPR23557-128] - BSA and Azide free(ab270402)

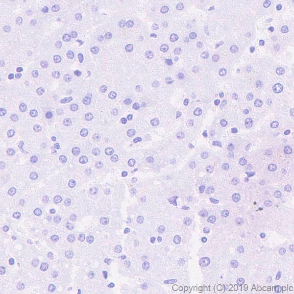
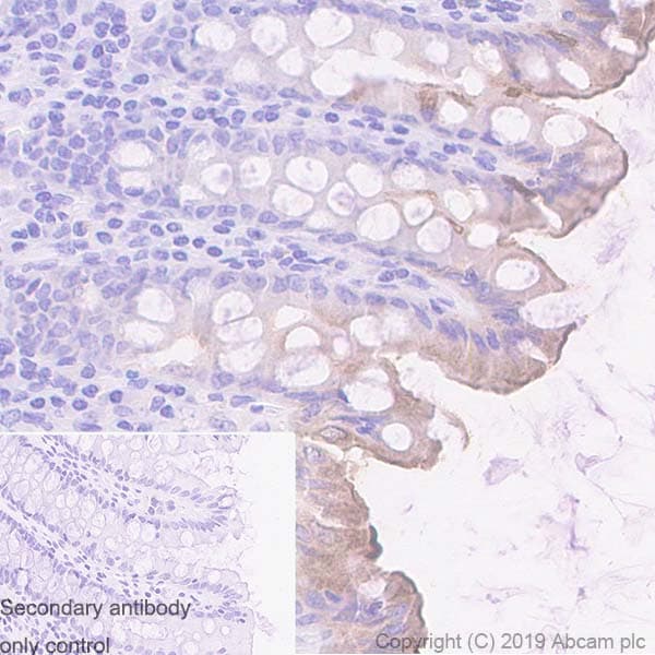
Rabbit Recombinant Monoclonal UNQ511 antibody. Carrier free. Suitable for WB, IHC-P and reacts with Human samples.
Specifications
Shipped At Conditions Blue Ice
Appropriate Long term Storage Conditions Store at +4°C.
Clonality Monoclonal
Applications IHC-P, WB
Species Reactivity Human, Mouse, Rat
Isotype IgG