JavaScript is disabled in your browser. Please enable JavaScript to view this website.

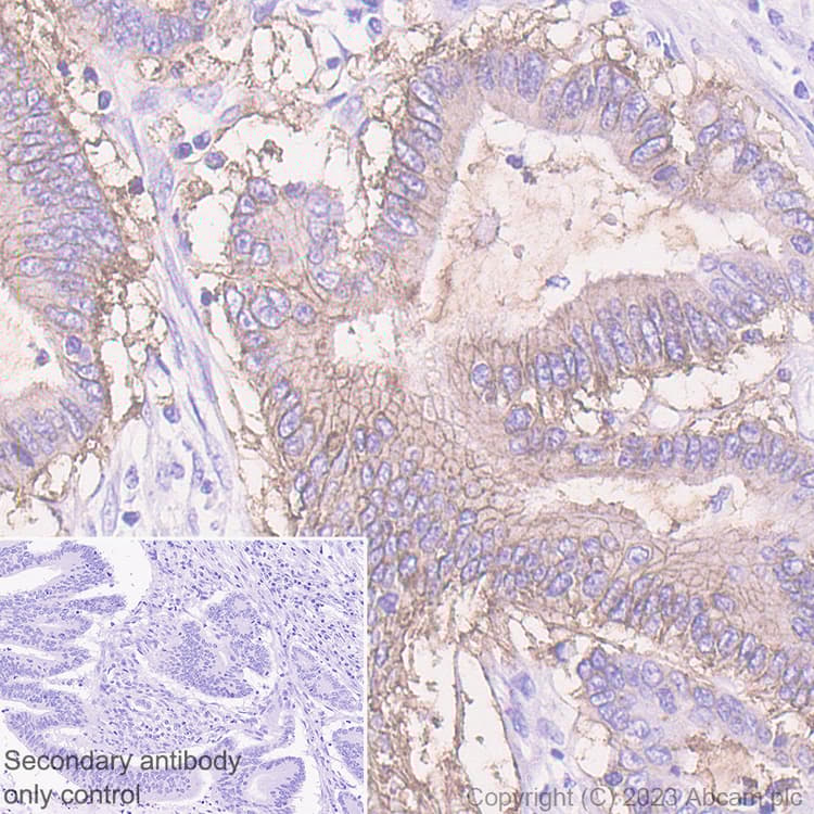
Anti-Carbonic Anhydrase 9/CA9 antibody [EPR23055-5] - BSA and Azide free(ab270401)

$undefined

Anti-Carbonic Anhydrase 9/CA9 antibody [EPR23055-5] - BSA and Azide free(ab270401)

Anti-Carbonic Anhydrase 9/CA9 antibody [EPR23055-5] - BSA and Azide free(ab270401)

Anti-Carbonic Anhydrase 9/CA9 antibody [EPR23055-5] - BSA and Azide free(ab270401)

Anti-Carbonic Anhydrase 9/CA9 antibody [EPR23055-5] - BSA and Azide free(ab270401)

Anti-Carbonic Anhydrase 9/CA9 antibody [EPR23055-5] - BSA and Azide free(ab270401)

Anti-Carbonic Anhydrase 9/CA9 antibody [EPR23055-5] - BSA and Azide free(ab270401)

Anti-Carbonic Anhydrase 9/CA9 antibody [EPR23055-5] - BSA and Azide free(ab270401)

Rabbit Recombinant Monoclonal Carbonic Anhydrase 9 antibody. Carrier free. Suitable for IP, WB, IHC-P, IHC-Fr and reacts with Mouse, Human, Rat samples.
Specifications
Shipped At Conditions Blue Ice
Appropriate Long term Storage Conditions Store at +4°C.
Clonality Monoclonal
Applications Flow Cyt, ICC, IHC-Fr, IHC-P, IP, WB
Species Reactivity Human, Mouse, Rat
Isotype IgG