JavaScript is disabled in your browser. Please enable JavaScript to view this website.

Anti-Transferrin Receptor antibody [H68.4](ab269513)

$undefined

Anti-Transferrin Receptor antibody [H68.4](ab269513)

Anti-Transferrin Receptor antibody [H68.4](ab269513)

Anti-Transferrin Receptor antibody [H68.4](ab269513)

Anti-Transferrin Receptor antibody [H68.4](ab269513)

Anti-Transferrin Receptor antibody [H68.4](ab269513)

Anti-Transferrin Receptor antibody [H68.4](ab269513)

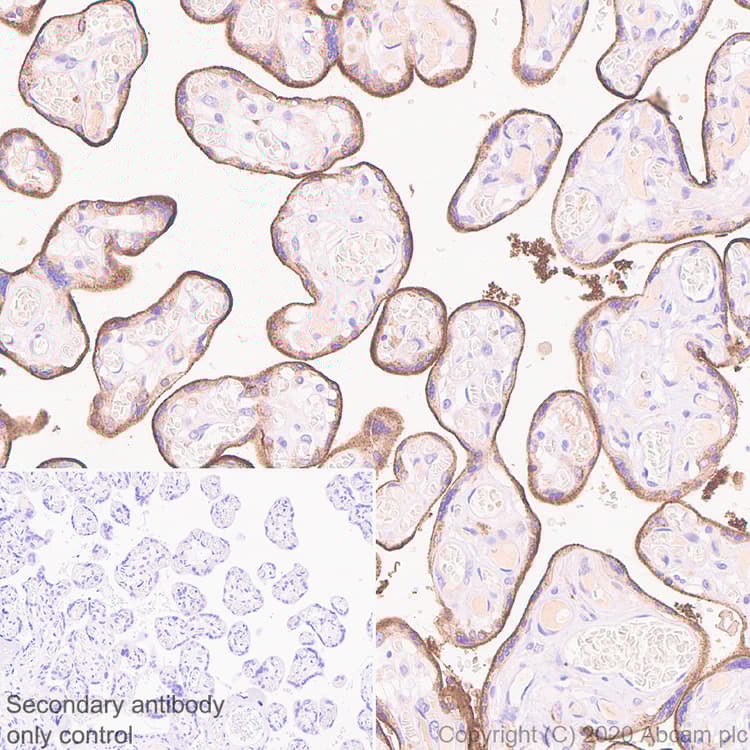
Mouse Recombinant Monoclonal Transferrin Receptor antibody. Suitable for WB, ICC/IF, IHC-P and reacts with Mouse, Rat, Human samples. Cited in 9 publications.
Specifications
Shipped At Conditions Blue Ice
Appropriate Long term Storage Conditions Store at -20°C.
Clonality Monoclonal
Applications ICC/IF, IHC-P, WB
Species Reactivity Human, Mouse, Rat
Isotype IgG1