JavaScript is disabled in your browser. Please enable JavaScript to view this website.

Anti-CBX4 antibody [EPR23053-7] - ChIP Grade - BSA and Azide free(ab269462)

$undefined

Anti-CBX4 antibody [EPR23053-7] - ChIP Grade - BSA and Azide free(ab269462)

Anti-CBX4 antibody [EPR23053-7] - ChIP Grade - BSA and Azide free(ab269462)

Anti-CBX4 antibody [EPR23053-7] - ChIP Grade - BSA and Azide free(ab269462)

Anti-CBX4 antibody [EPR23053-7] - ChIP Grade - BSA and Azide free(ab269462)

Anti-CBX4 antibody [EPR23053-7] - ChIP Grade - BSA and Azide free(ab269462)

Anti-CBX4 antibody [EPR23053-7] - ChIP Grade - BSA and Azide free(ab269462)

Anti-CBX4 antibody [EPR23053-7] - ChIP Grade - BSA and Azide free(ab269462)

Anti-CBX4 antibody [EPR23053-7] - ChIP Grade - BSA and Azide free(ab269462)

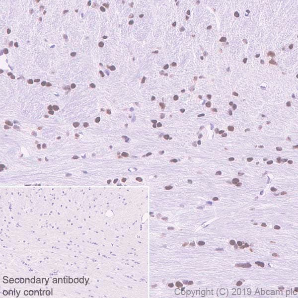
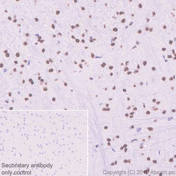
Rabbit Recombinant Monoclonal CBX4 antibody. Carrier free. Suitable for IP, ChIP, WB, Flow Cyt (Intra), IHC-P and reacts with Human, Mouse, Rat samples.
Specifications
Shipped At Conditions Blue Ice
Appropriate Long term Storage Conditions Store at +4°C.
Clonality Monoclonal
Applications ChIP, Flow Cyt (Intra), ICC/IF, IHC-Fr, IHC-P, IP, WB
Species Reactivity Human, Mouse, Rat
Isotype IgG