JavaScript is disabled in your browser. Please enable JavaScript to view this website.

Mouse on Mouse Polymer IHC Kit(ab269452)

$undefined

Mouse on Mouse Polymer IHC Kit(ab269452)

Mouse on Mouse Polymer IHC Kit(ab269452)

Mouse on Mouse Polymer IHC Kit(ab269452)

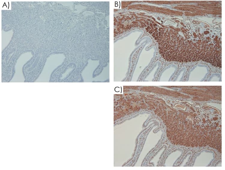
Mouse on mouse polymer IHC kit ab269452 allows antibodies raised in mouse to be used on mouse tissues in IHC, without high backgrounds caused by anti-mouse secondary antibody binding to endogenous mouse antibodies in mouse tissues.
Specifications
Shipped At Conditions Blue Ice
Appropriate Long term Storage Conditions Store at +4°C.
Applications IHC-P