JavaScript is disabled in your browser. Please enable JavaScript to view this website.

Anti-Fibronectin antibody [EPR23110-46](AB268020)

$undefined

Anti-Fibronectin antibody [EPR23110-46](AB268020)

Anti-Fibronectin antibody [EPR23110-46](AB268020)

Anti-Fibronectin antibody [EPR23110-46](AB268020)

Anti-Fibronectin antibody [EPR23110-46](AB268020)

Anti-Fibronectin antibody [EPR23110-46](AB268020)

Anti-Fibronectin antibody [EPR23110-46](AB268020)

Anti-Fibronectin antibody [EPR23110-46](AB268020)

Anti-Fibronectin antibody [EPR23110-46](AB268020)

Anti-Fibronectin antibody [EPR23110-46](AB268020)

Anti-Fibronectin antibody [EPR23110-46](AB268020)

Anti-Fibronectin antibody [EPR23110-46](AB268020)

Anti-Fibronectin antibody [EPR23110-46](AB268020)

Anti-Fibronectin antibody [EPR23110-46](AB268020)

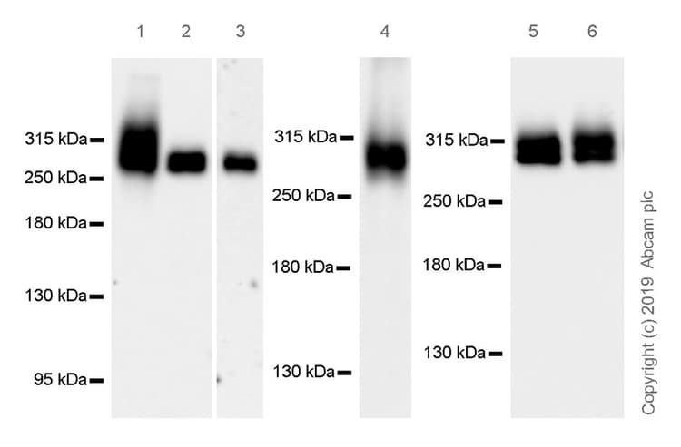
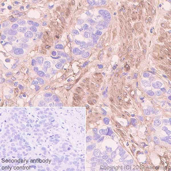
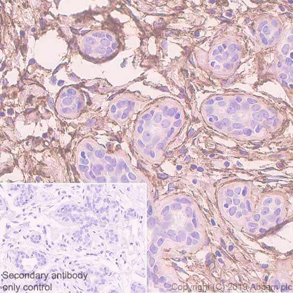
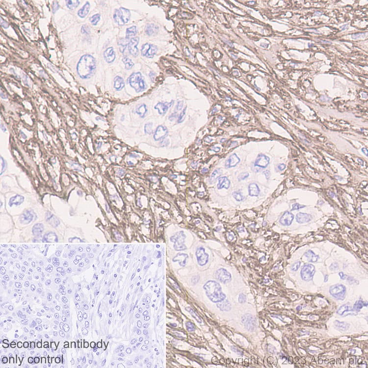
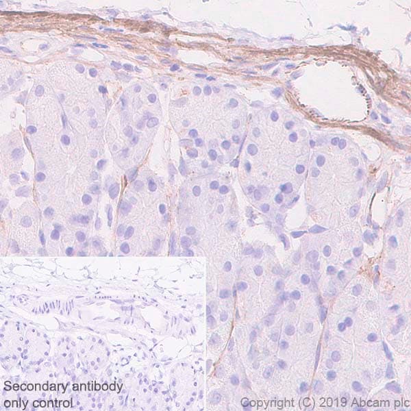
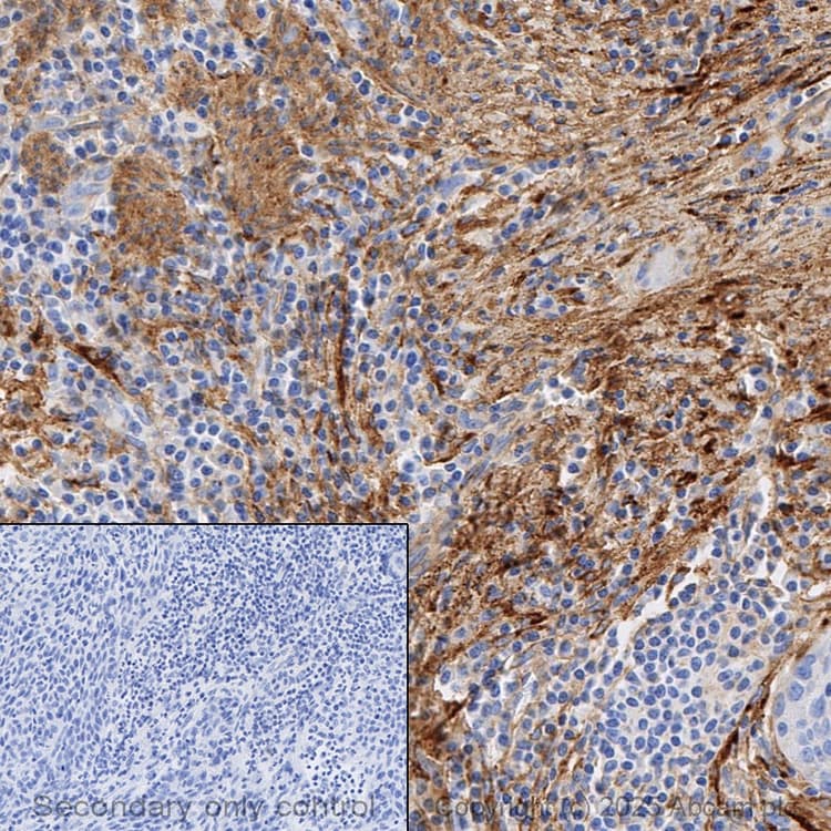
Anti-Fibronectin antibody [EPR23110-46] ab268020 is a rabbit monoclonal antibody that is used in Fibronectin western blotting, IHC and immunofluorescence. Suitable for human, mouse and rat samples.

- Recombinant format for unrivaled batch-batch consistency: no need for same-lot requests
- Specificity confirmed with FN1 knockout cell line validation
Specifications
Shipped At Conditions Blue Ice
Appropriate Long term Storage Conditions Store at -20°C.
Clonality Monoclonal
Applications Human, Mouse, Rat
Species Reactivity Flow Cyt, ICC/IF, IHC-Fr, IHC-P, IP, WB
Isotype IgG
Conjugation -
CAS Number -