JavaScript is disabled in your browser. Please enable JavaScript to view this website.

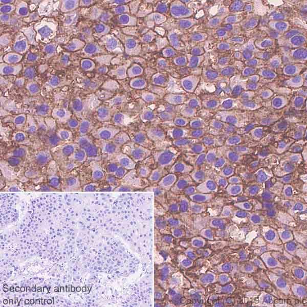
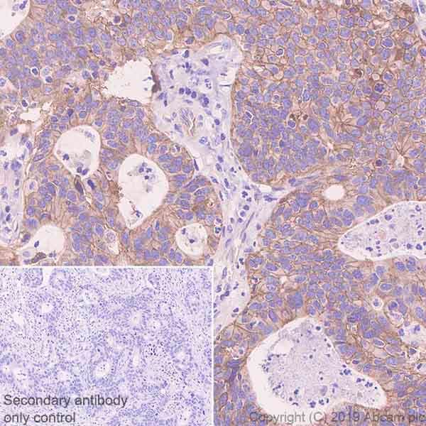
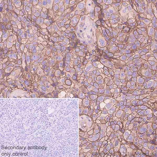
Anti-Poliovirus Receptor/PVR antibody [EPR23074-270] - BSA and Azide free(AB267398)

$undefined

Anti-Poliovirus Receptor/PVR antibody [EPR23074-270] - BSA and Azide free(AB267398)

Anti-Poliovirus Receptor/PVR antibody [EPR23074-270] - BSA and Azide free(AB267398)

Anti-Poliovirus Receptor/PVR antibody [EPR23074-270] - BSA and Azide free(AB267398)

Rabbit Recombinant Monoclonal Poliovirus Receptor/PVR antibody. Carrier free. Suitable for WB, IHC-P and reacts with Human samples.
Specifications
Shipped At Conditions Blue Ice
Appropriate Long term Storage Conditions Store at +4°C.
Clonality Monoclonal
Applications Flow Cyt, ICC/IF, IHC-P, IP, WB
Species Reactivity Human
Isotype IgG