JavaScript is disabled in your browser. Please enable JavaScript to view this website.

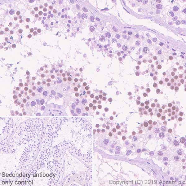
Anti-KMT4 / Dot1L antibody [EPR22936-138] - BSA and Azide free(ab264562)

$undefined

Anti-KMT4 / Dot1L antibody [EPR22936-138] - BSA and Azide free(ab264562)

Anti-KMT4 / Dot1L antibody [EPR22936-138] - BSA and Azide free(ab264562)

Anti-KMT4 / Dot1L antibody [EPR22936-138] - BSA and Azide free(ab264562)

Rabbit Recombinant Monoclonal KMT4 / Dot1L antibody. Carrier free. Suitable for IHC-P, WB and reacts with Mouse, Human, Rat samples.
Specifications
Shipped At Conditions Blue Ice
Appropriate Long term Storage Conditions Store at +4°C.
Clonality Monoclonal
Applications ChIP, Flow Cyt, ICC/IF, IHC-P, IP, WB
Species Reactivity Human, Mouse, Rat
Isotype IgG