JavaScript is disabled in your browser. Please enable JavaScript to view this website.

Anti-EGFR antibody [EMab-134] - BSA and Azide free(ab264547)

$undefined

Anti-EGFR antibody [EMab-134] - BSA and Azide free(ab264547)

Anti-EGFR antibody [EMab-134] - BSA and Azide free(ab264547)

Anti-EGFR antibody [EMab-134] - BSA and Azide free(ab264547)

Anti-EGFR antibody [EMab-134] - BSA and Azide free(ab264547)

Anti-EGFR antibody [EMab-134] - BSA and Azide free(ab264547)

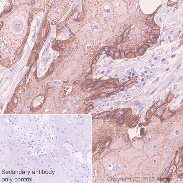
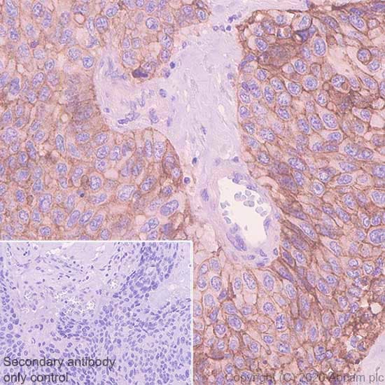
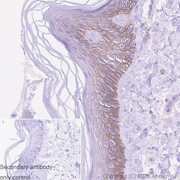
Mouse Recombinant Monoclonal EGFR antibody. Carrier free. Suitable for Flow Cyt, WB, IHC-P and reacts with Human samples. Cited in 2 publications.
Specifications
Shipped At Conditions Blue Ice
Appropriate Long term Storage Conditions Store at +4°C.
Clonality Monoclonal
Applications Flow Cyt, IHC-P, WB
Species Reactivity Human, Mouse, Rat
Isotype IgG1