JavaScript is disabled in your browser. Please enable JavaScript to view this website.

Anti-L1CAM antibody [2C2] - BSA and Azide free(ab264526)

$undefined

Anti-L1CAM antibody [2C2] - BSA and Azide free(ab264526)

Anti-L1CAM antibody [2C2] - BSA and Azide free(ab264526)

Anti-L1CAM antibody [2C2] - BSA and Azide free(ab264526)

Anti-L1CAM antibody [2C2] - BSA and Azide free(ab264526)

Anti-L1CAM antibody [2C2] - BSA and Azide free(ab264526)

Anti-L1CAM antibody [2C2] - BSA and Azide free(ab264526)

Anti-L1CAM antibody [2C2] - BSA and Azide free(ab264526)

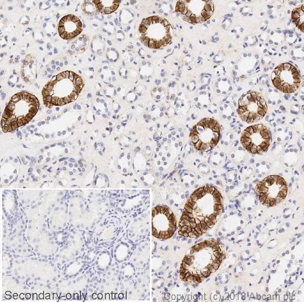
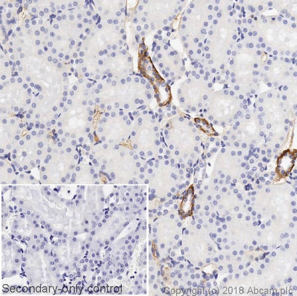
Mouse Monoclonal L1CAM antibody. Carrier free. Suitable for IHC-P, ICC, WB and reacts with Rat, Human, Mouse samples.
Specifications
Shipped At Conditions Blue Ice
Appropriate Long term Storage Conditions Store at +4°C.
Clonality Monoclonal
Applications ICC, IHC-P, WB
Species Reactivity Human, Mouse, Rat
Isotype IgG2b