JavaScript is disabled in your browser. Please enable JavaScript to view this website.

Anti-BRCA1 antibody [MS110] - BSA and Azide free(ab264518)

$undefined

Anti-BRCA1 antibody [MS110] - BSA and Azide free(ab264518)

Anti-BRCA1 antibody [MS110] - BSA and Azide free(ab264518)

Anti-BRCA1 antibody [MS110] - BSA and Azide free(ab264518)

Anti-BRCA1 antibody [MS110] - BSA and Azide free(ab264518)

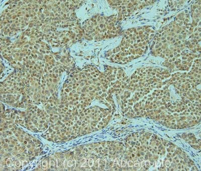
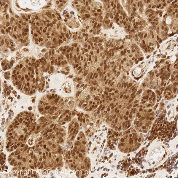
Mouse Monoclonal BRCA1 antibody. Carrier free. Suitable for IHC-P, Flow Cyt (Intra), ICC/IF and reacts with Human samples.
Specifications
Shipped At Conditions Blue Ice
Appropriate Long term Storage Conditions Store at +4°C.
Clonality Monoclonal
Applications Flow Cyt (Intra), ICC/IF, IHC-P, WB
Species Reactivity Human
Isotype IgG1