JavaScript is disabled in your browser. Please enable JavaScript to view this website.

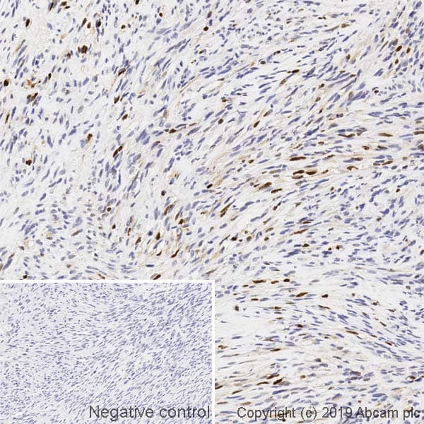
Anti-Myogenin antibody [F5D] - BSA and Azide free(ab264517)

$undefined

Anti-Myogenin antibody [F5D] - BSA and Azide free(ab264517)

Anti-Myogenin antibody [F5D] - BSA and Azide free(ab264517)

Anti-Myogenin antibody [F5D] - BSA and Azide free(ab264517)

Anti-Myogenin antibody [F5D] - BSA and Azide free(ab264517)

Anti-Myogenin antibody [F5D] - BSA and Azide free(ab264517)

Mouse Monoclonal Myogenin antibody. Carrier free. Suitable for WB, IHC-FoFr, ICC/IF, IHC-P and reacts with Mouse, Human samples.
Specifications
Shipped At Conditions Blue Ice
Appropriate Long term Storage Conditions Store at +4°C.
Clonality Monoclonal
Applications ICC/IF, IHC-FoFr, IHC-P, WB
Species Reactivity Human, Mouse
Isotype IgG1