JavaScript is disabled in your browser. Please enable JavaScript to view this website.

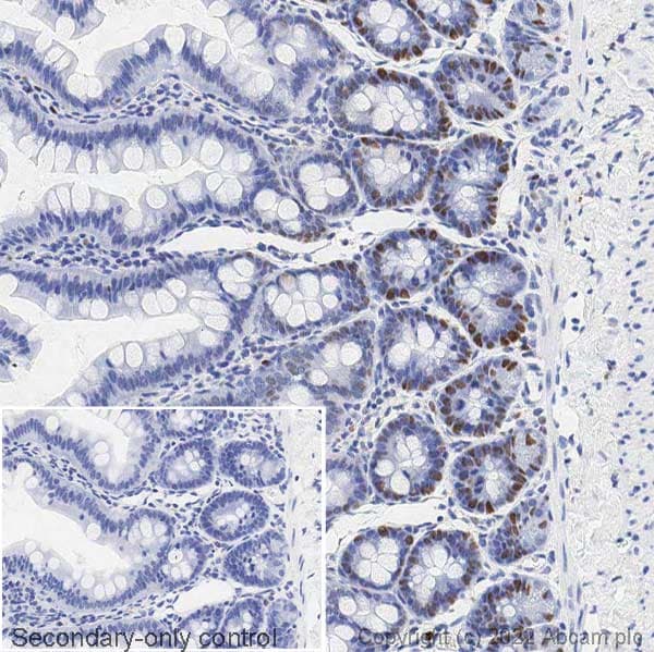
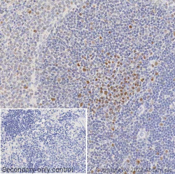
Anti-PCNA antibody [PC10] - BSA and Azide free(ab264494)

$undefined

Anti-PCNA antibody [PC10] - BSA and Azide free(ab264494)

Anti-PCNA antibody [PC10] - BSA and Azide free(ab264494)

Anti-PCNA antibody [PC10] - BSA and Azide free(ab264494)

Anti-PCNA antibody [PC10] - BSA and Azide free(ab264494)

Anti-PCNA antibody [PC10] - BSA and Azide free(ab264494)

Mouse Recombinant Monoclonal PCNA antibody. Carrier free. Suitable for IHC-P, WB, ICC/IF, Flow Cyt (Intra) and reacts with Rat, Mouse, Human samples. Cited in 1 publication.
Specifications
Shipped At Conditions Blue Ice
Appropriate Long term Storage Conditions Store at +4°C.
Clonality Monoclonal
Applications Flow Cyt (Intra), ICC/IF, IHC-P, WB
Species Reactivity Human, Mouse, Rat
Isotype IgG2a