JavaScript is disabled in your browser. Please enable JavaScript to view this website.

Anti-alpha Tubulin antibody [DM1A] - BSA and Azide free(ab264493)

$undefined

Anti-alpha Tubulin antibody [DM1A] - BSA and Azide free(ab264493)

Anti-alpha Tubulin antibody [DM1A] - BSA and Azide free(ab264493)

Anti-alpha Tubulin antibody [DM1A] - BSA and Azide free(ab264493)

Anti-alpha Tubulin antibody [DM1A] - BSA and Azide free(ab264493)

Anti-alpha Tubulin antibody [DM1A] - BSA and Azide free(ab264493)

Anti-alpha Tubulin antibody [DM1A] - BSA and Azide free(ab264493)

Anti-alpha Tubulin antibody [DM1A] - BSA and Azide free(ab264493)

Anti-alpha Tubulin antibody [DM1A] - BSA and Azide free(ab264493)

Anti-alpha Tubulin antibody [DM1A] - BSA and Azide free(ab264493)

Anti-alpha Tubulin antibody [DM1A] - BSA and Azide free(ab264493)

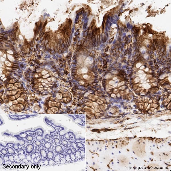
Mouse Monoclonal TBA1 antibody. Carrier free. Suitable for IHC-P, Flow Cyt (Intra), WB, ICC/IF and reacts with Rat, Human, Mouse samples.
Specifications
Shipped At Conditions Blue Ice
Appropriate Long term Storage Conditions Store at +4°C.
Clonality Monoclonal
Applications Flow Cyt (Intra), ICC/IF, IHC-P, WB
Species Reactivity Human, Mouse, Rat
Isotype IgG1